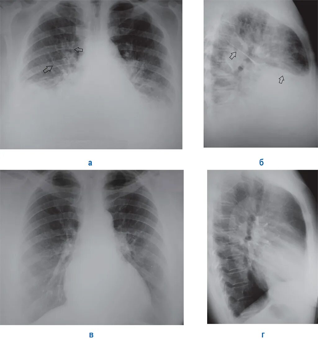
Как выглядит отек легких