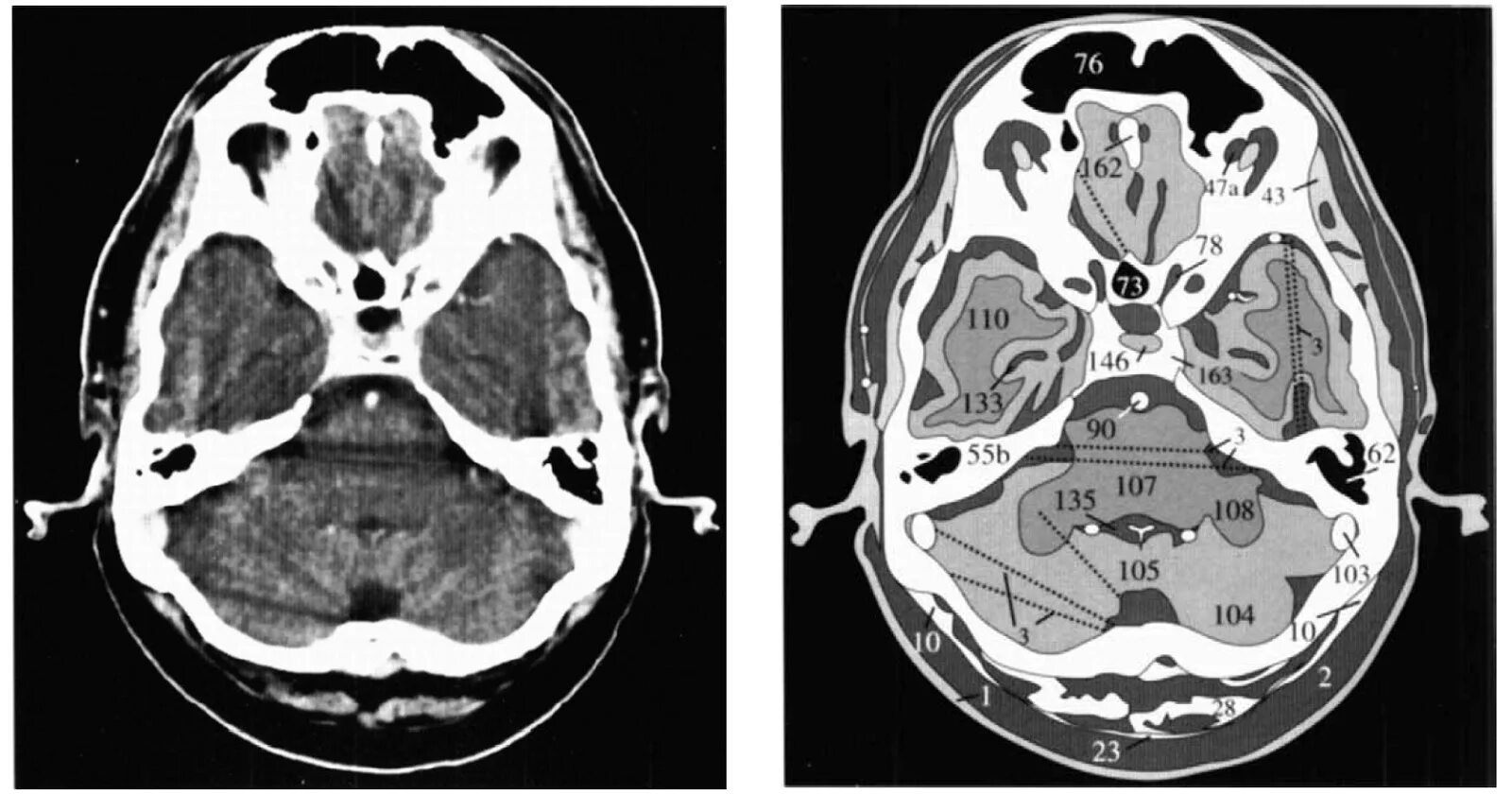
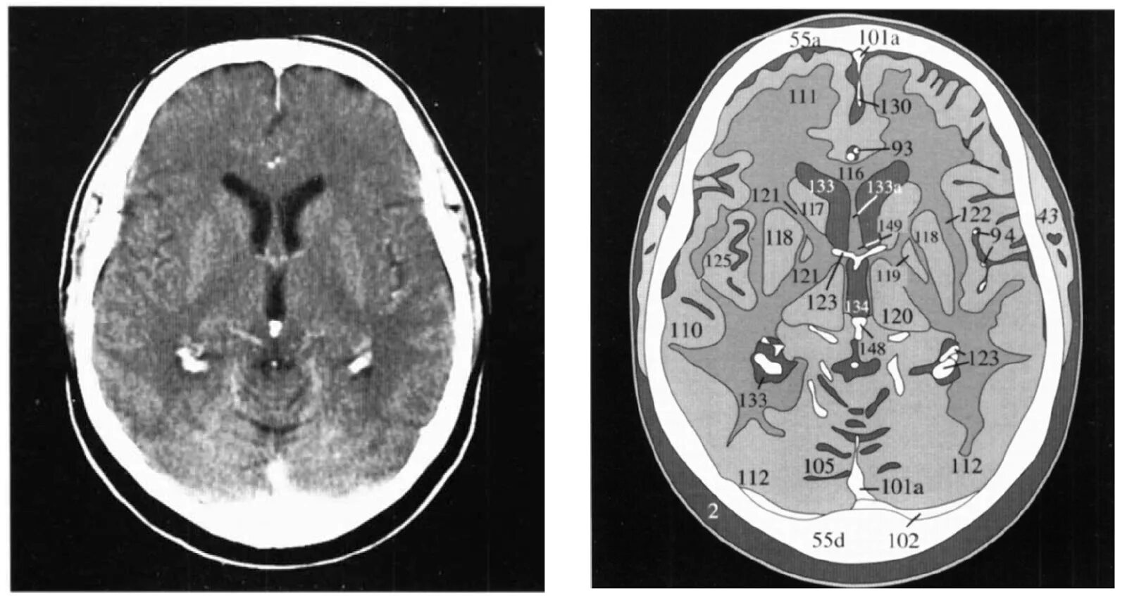
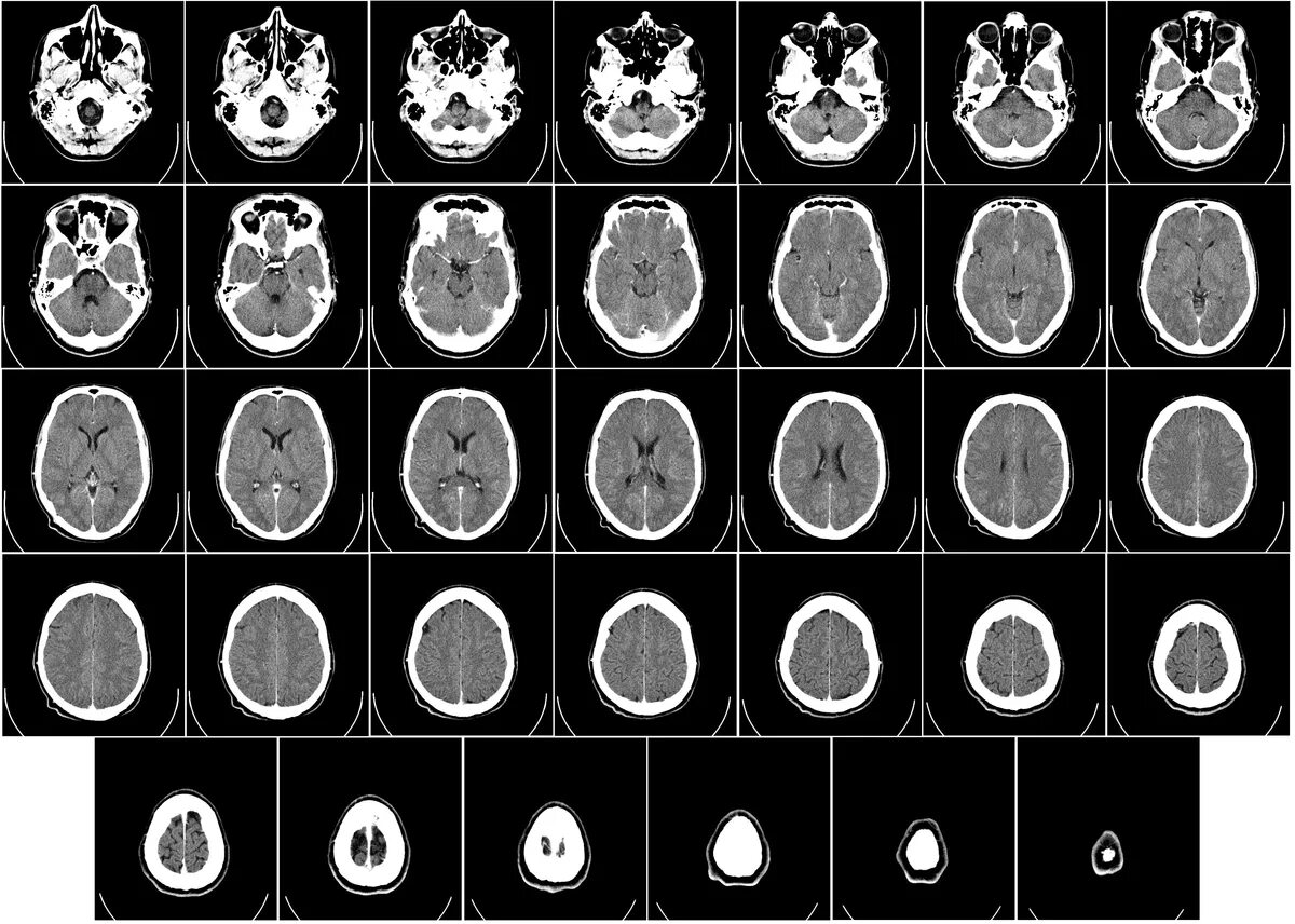
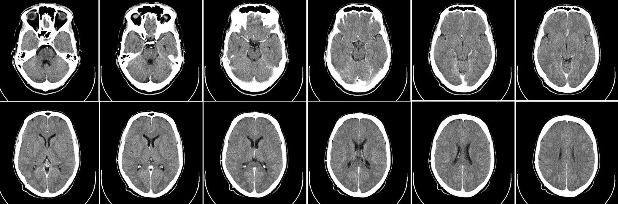
Какие виды кт