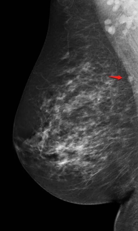
Какой лимфоузел при раке молочной железы