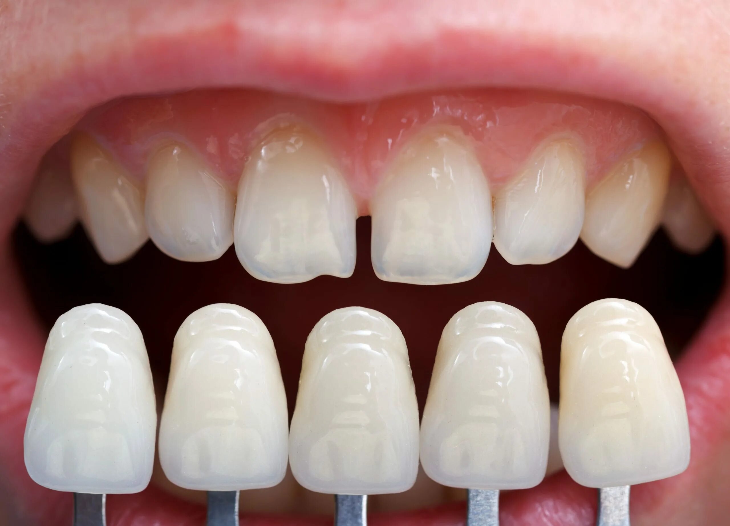
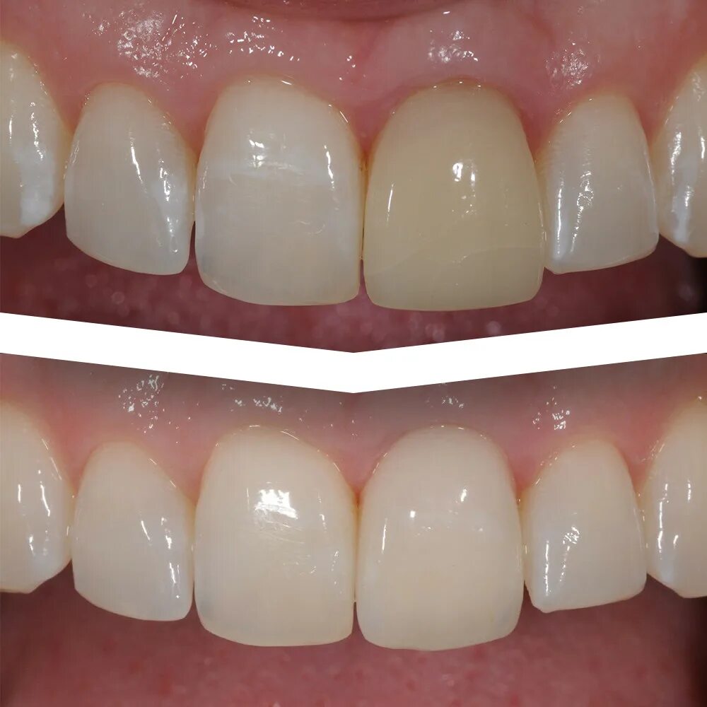
Какую металлокерамику лучше ставить