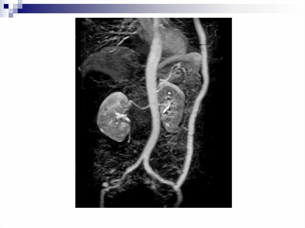
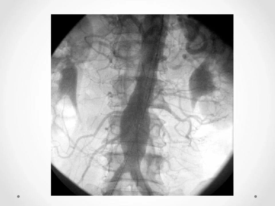
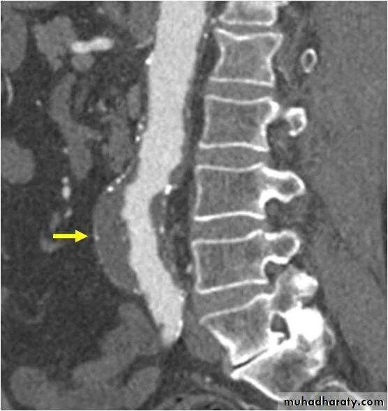
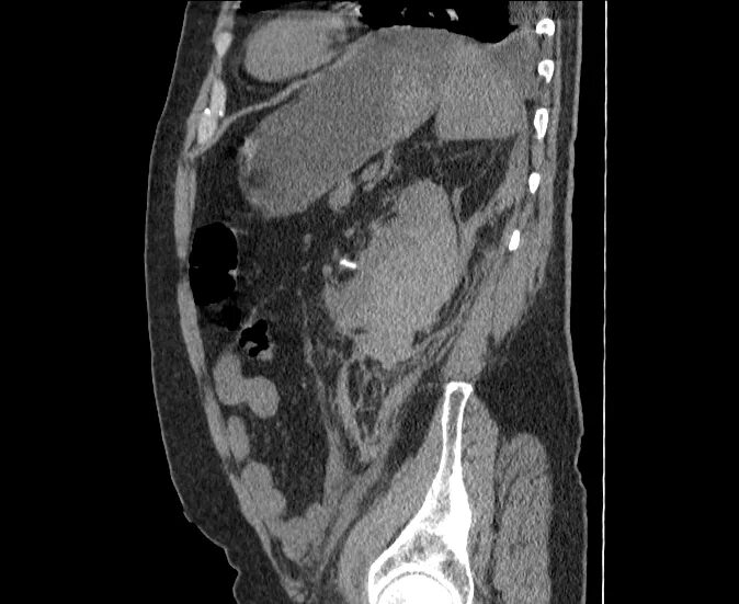
Кальциноз брюшного отдела