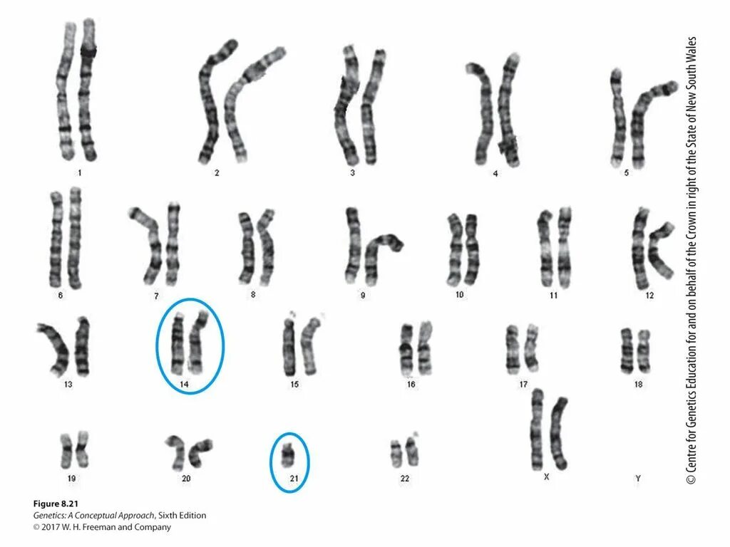
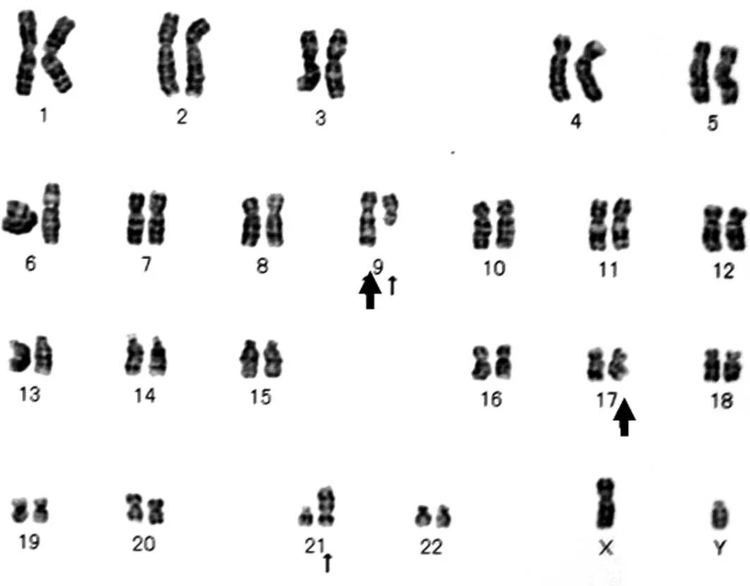
Кариотип транслокации