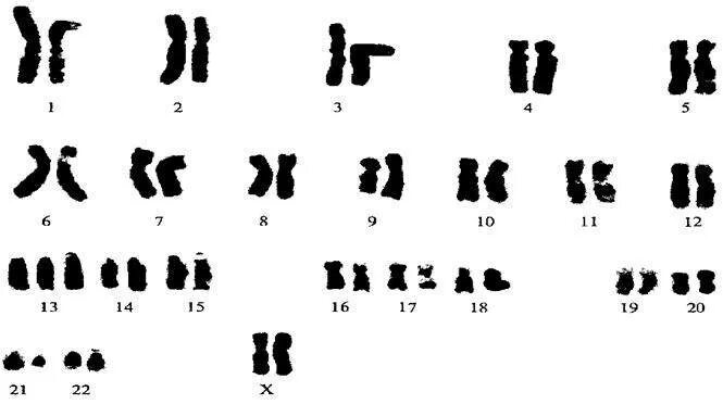
Кариотип животных