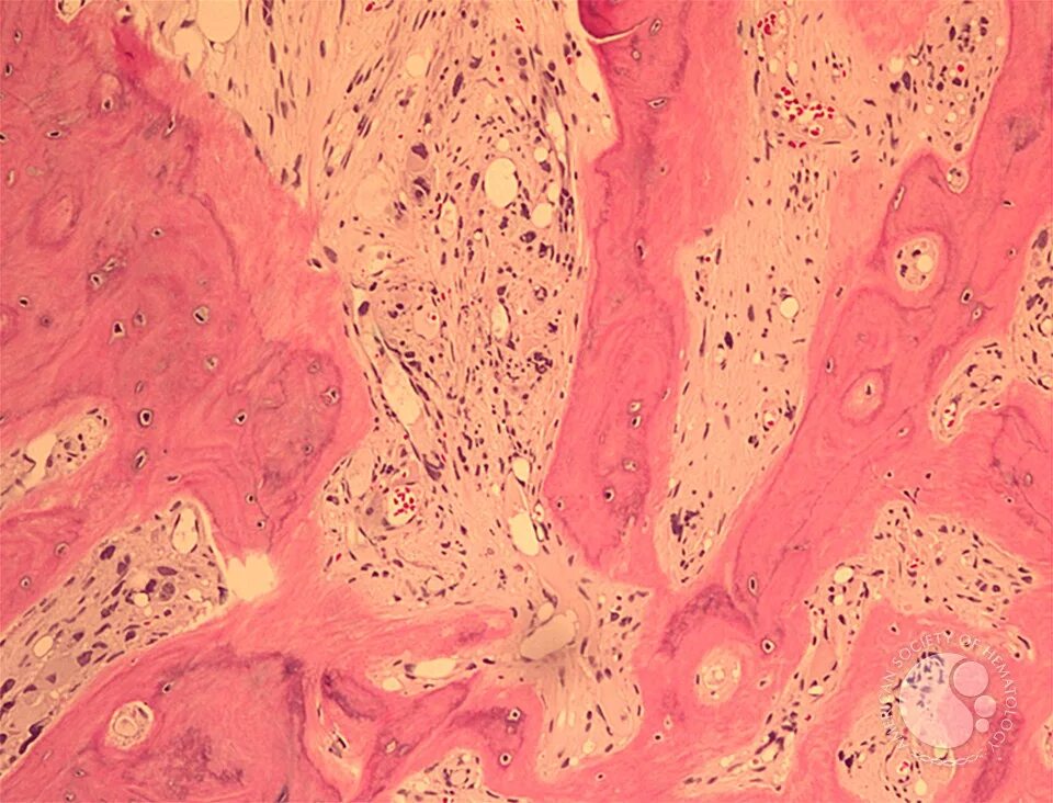
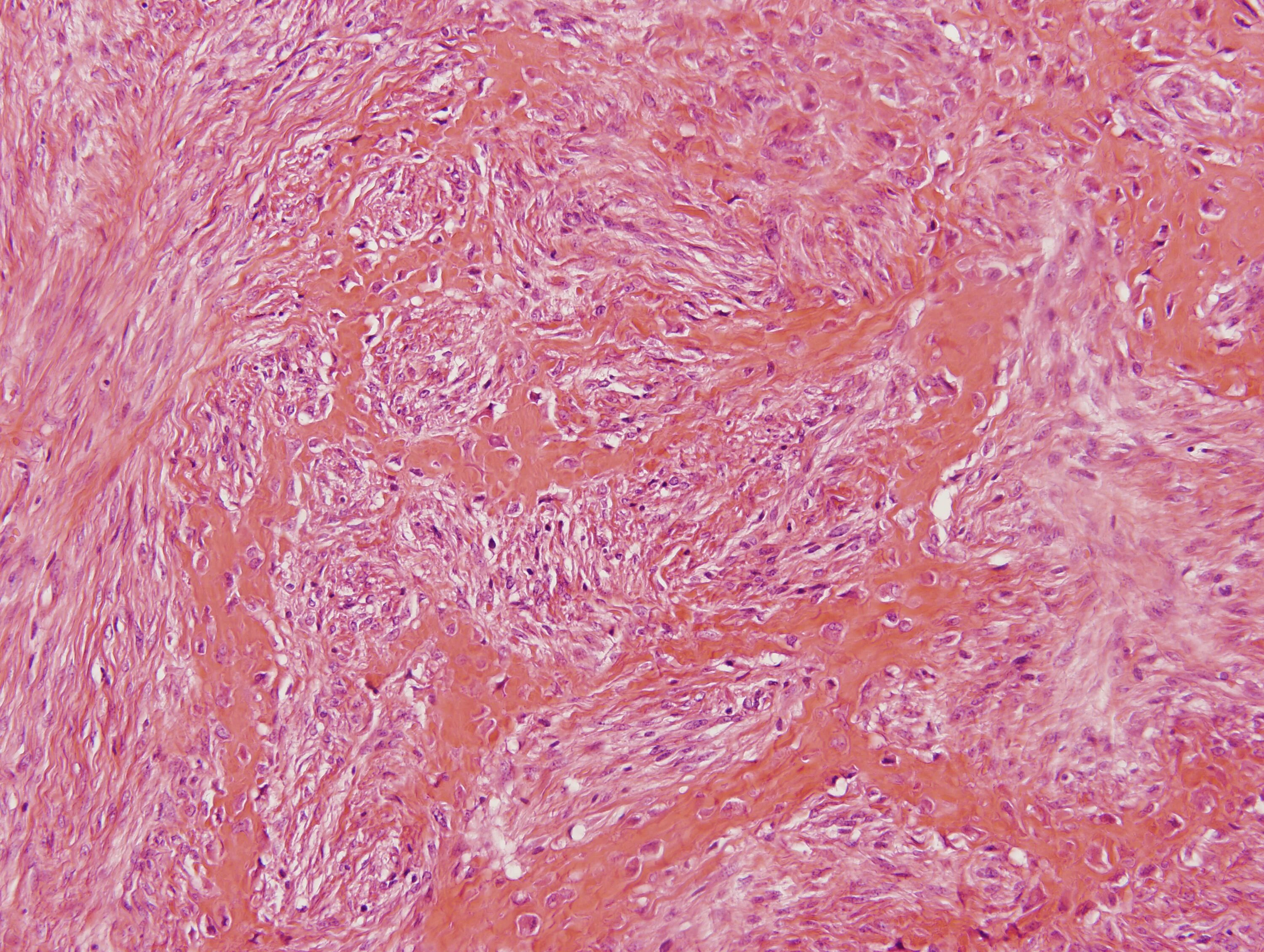
Картина фиброзных изменений