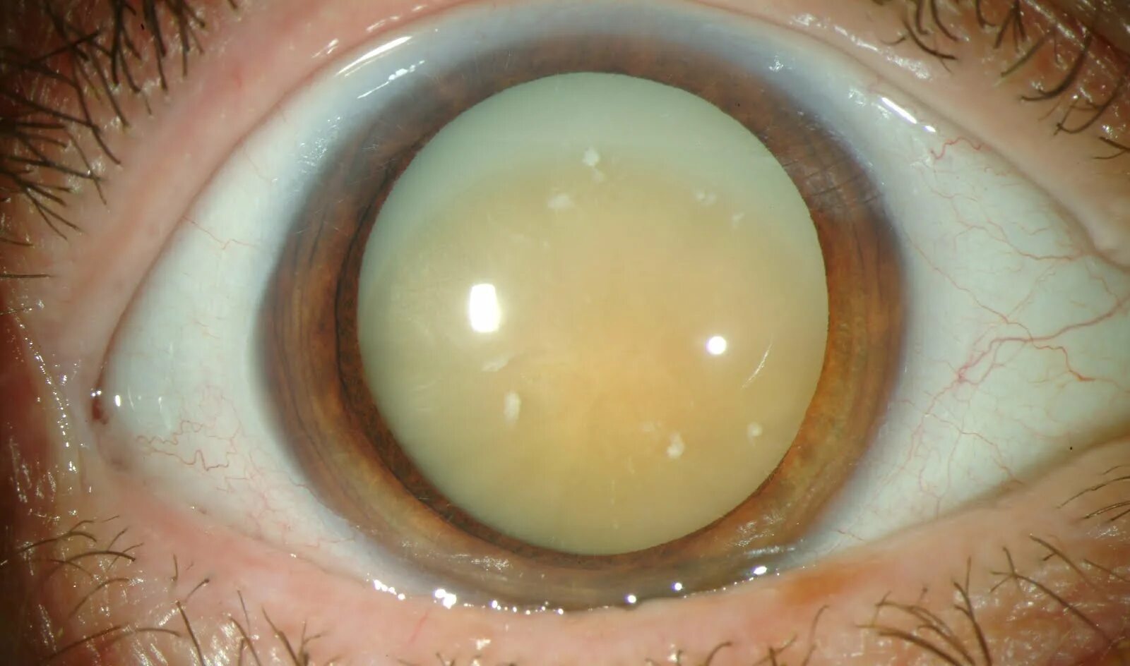
Катаракта на правом глазу