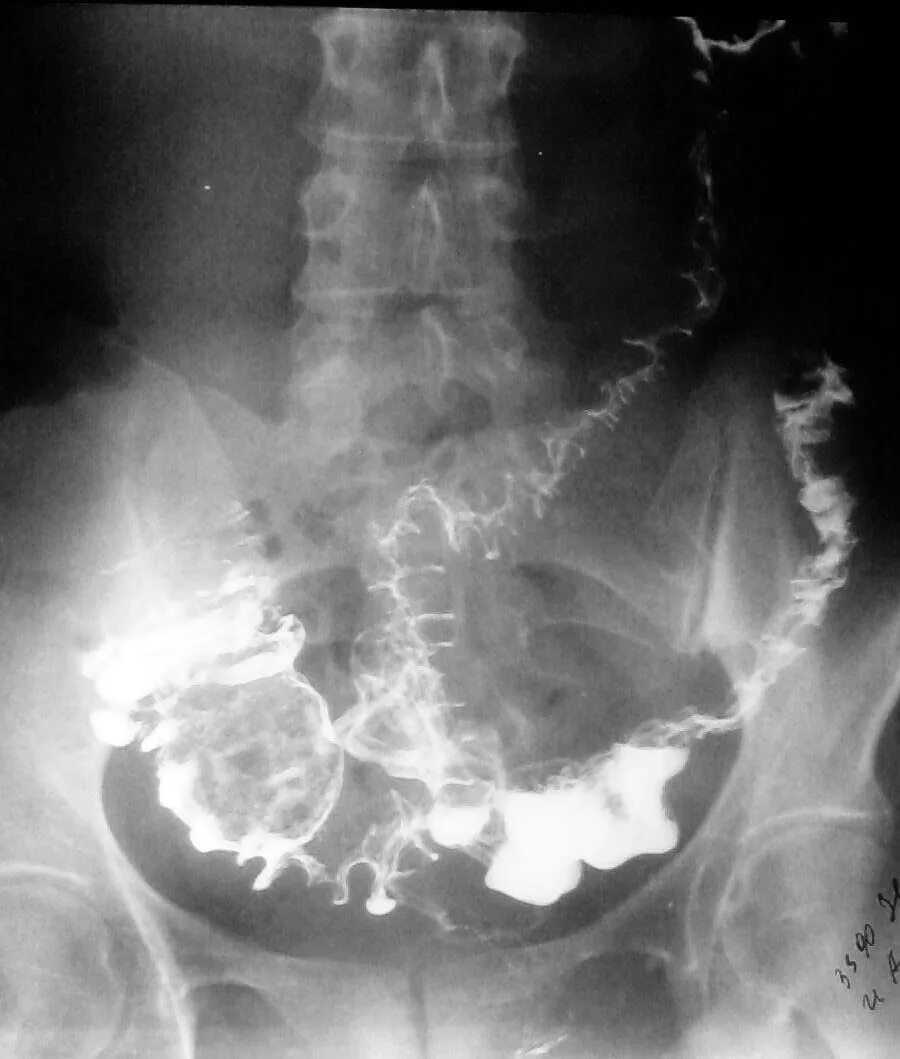
Кишечник после ирригоскопии