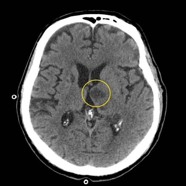
Киста базальных ядер слева