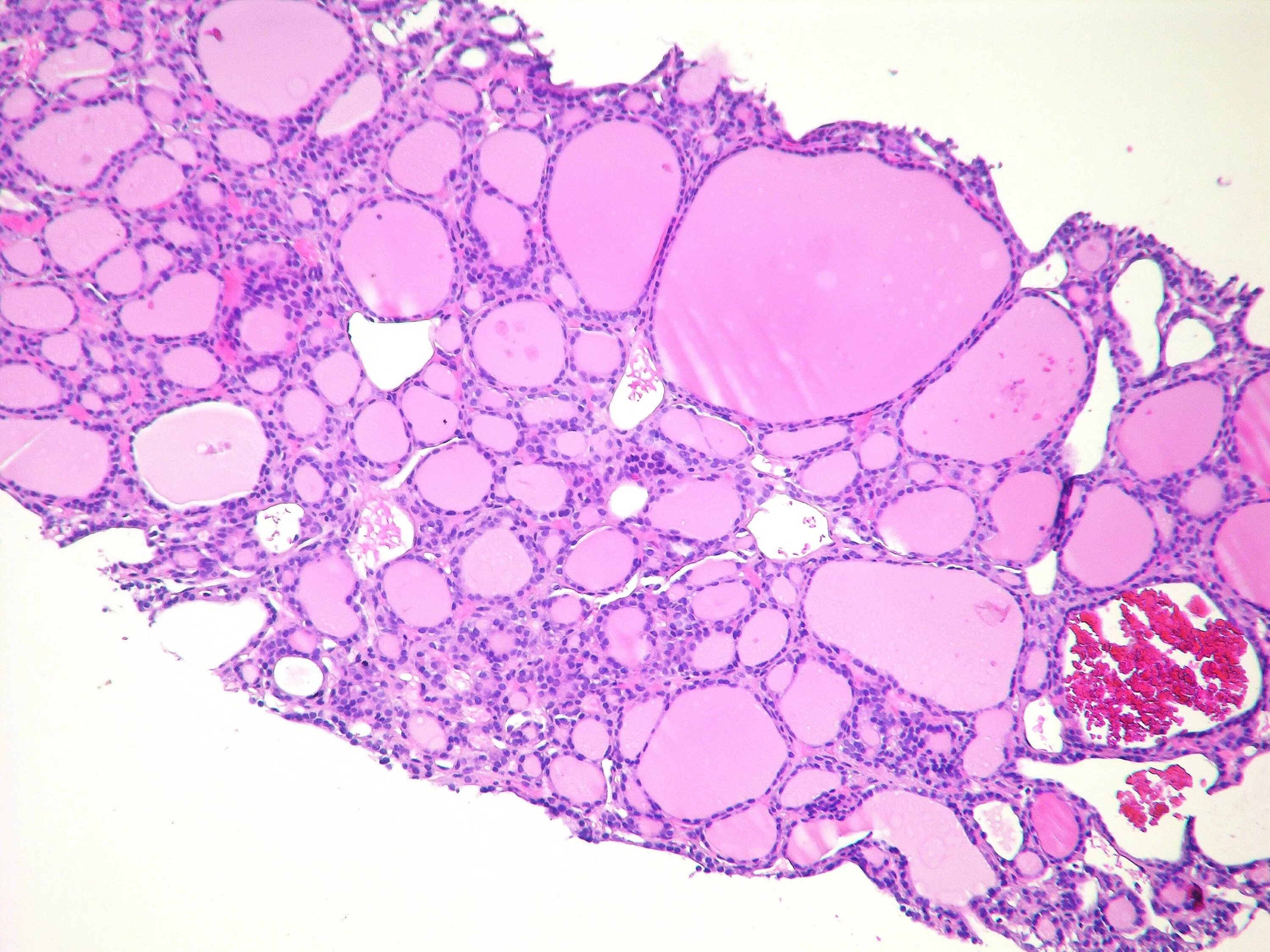
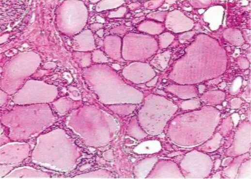
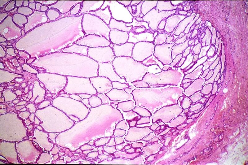
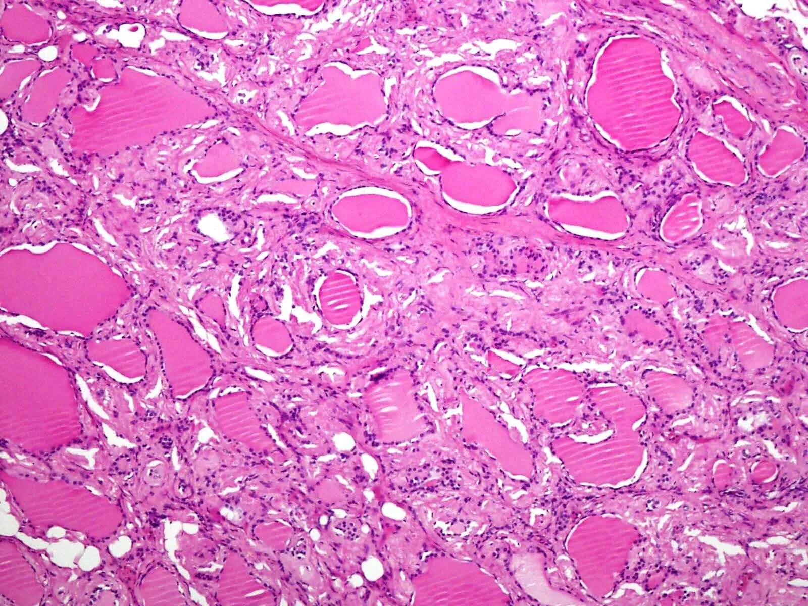
Коллоидный зоб