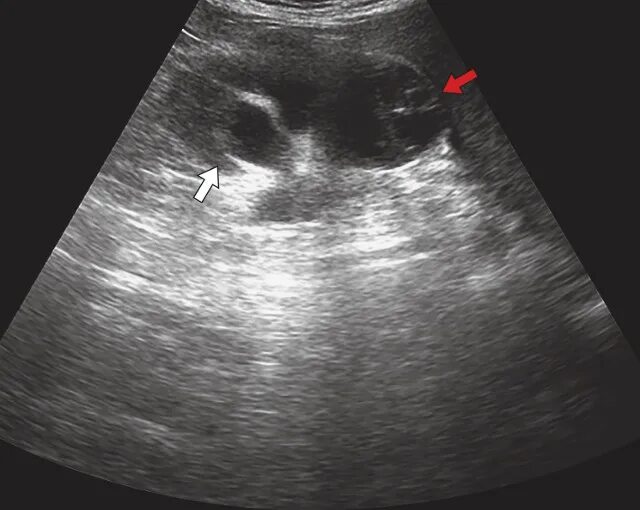
Конкремент 10 мм