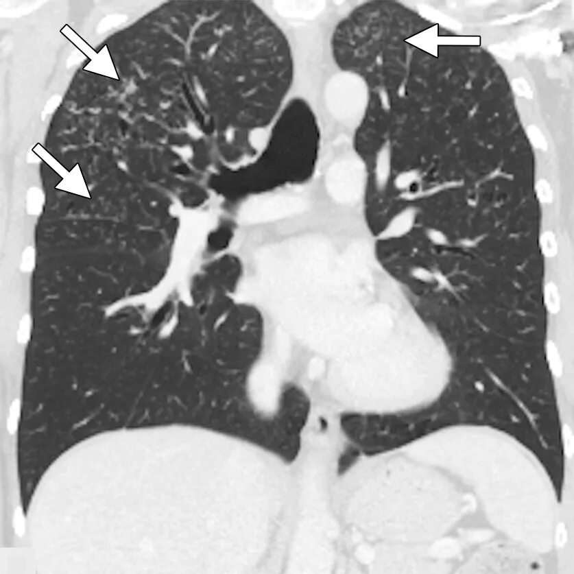
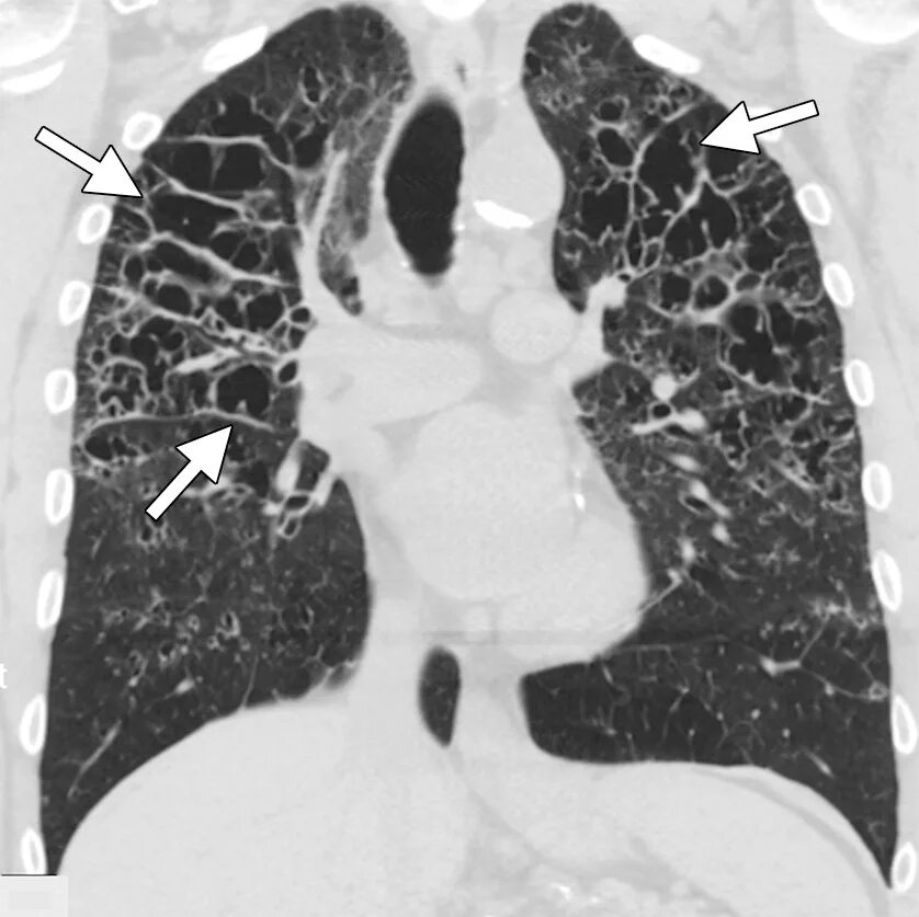
Кт х