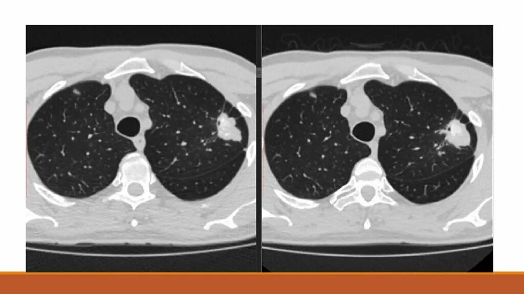
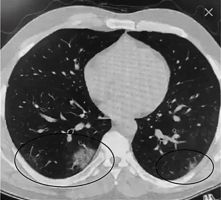
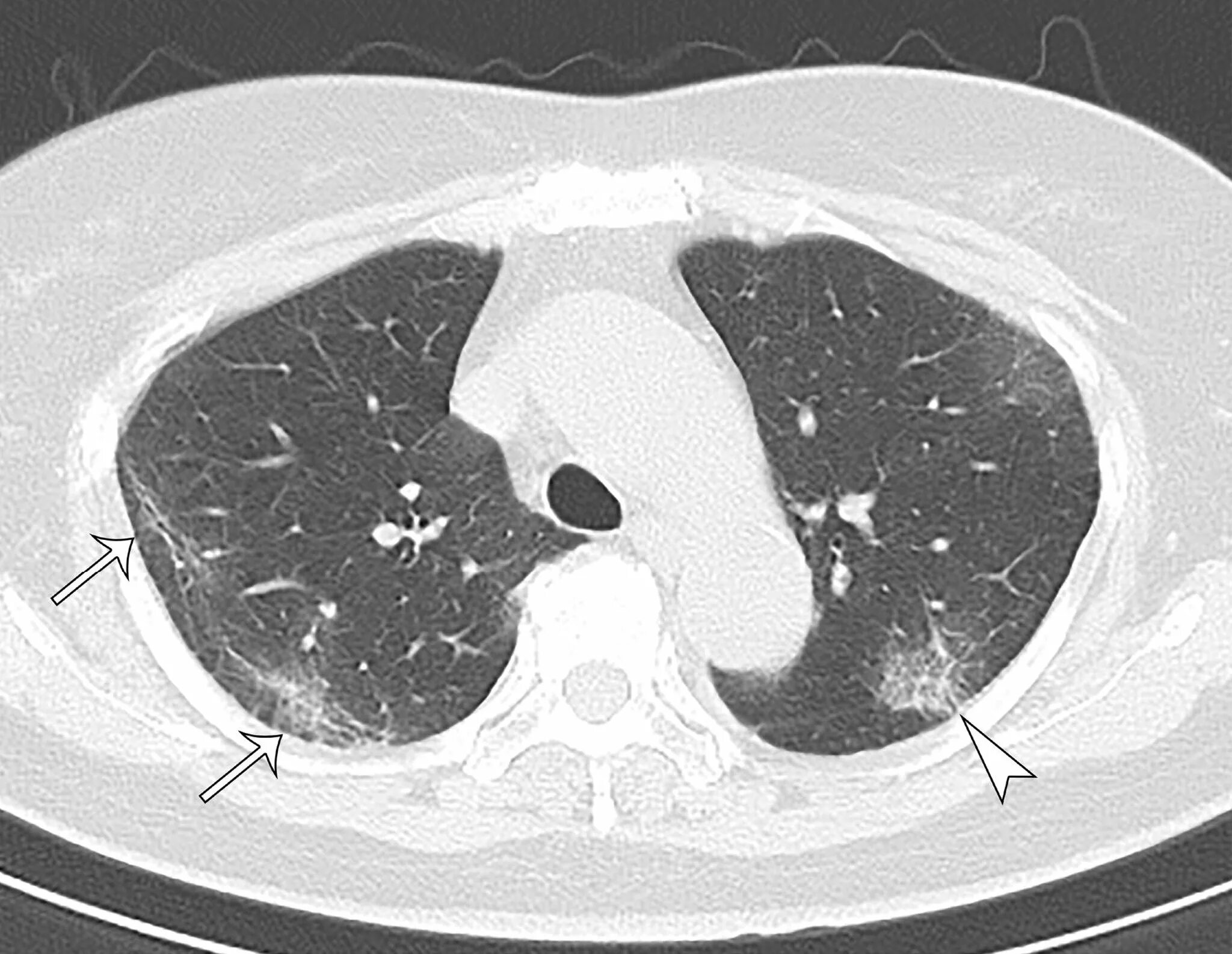
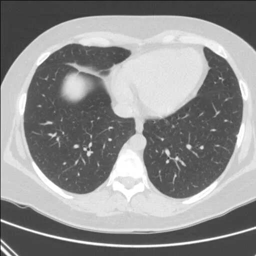
Кт после ковид