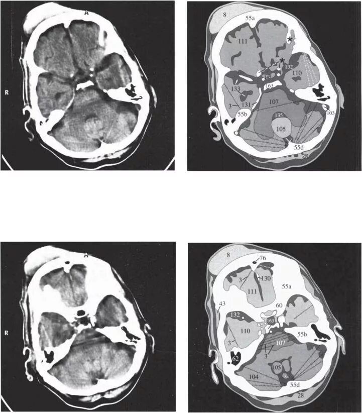
Кт тканей