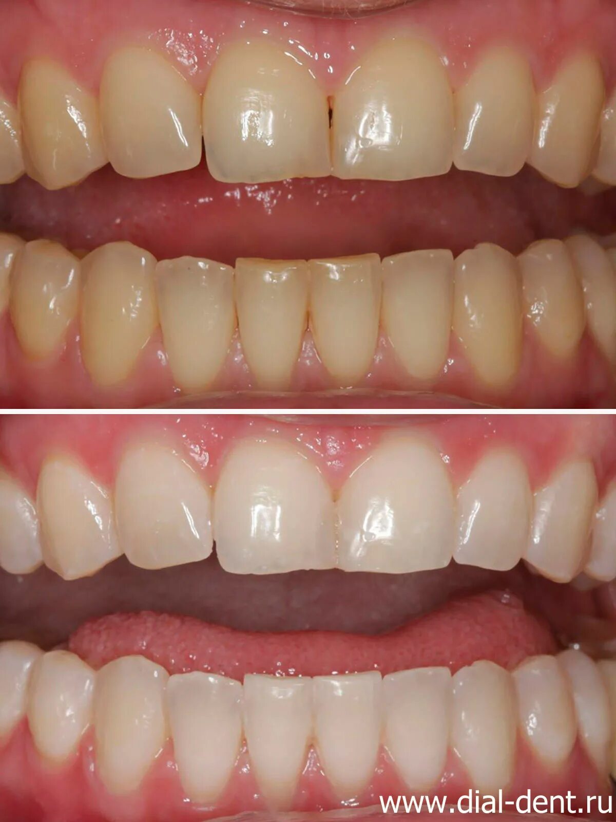
Ли отбелить зубы