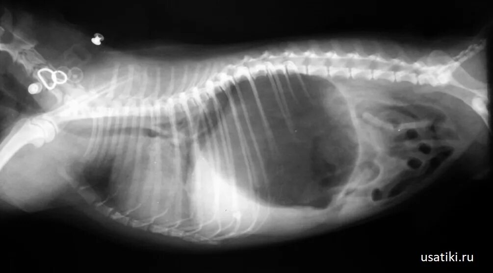
Лимфома у собак симптомы