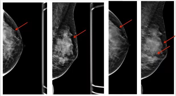
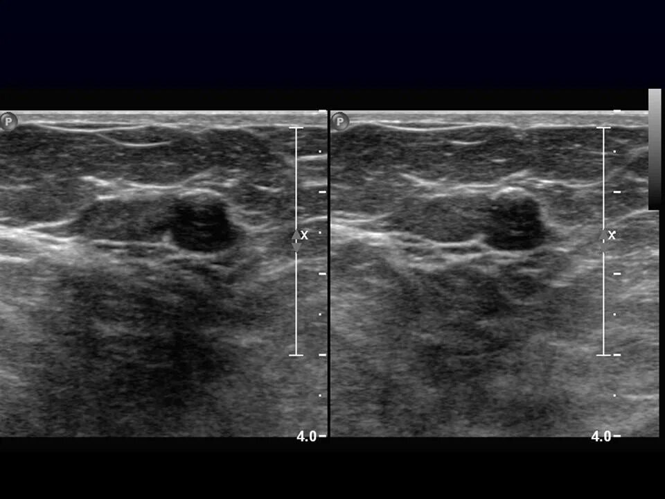
Линейный фиброз молочных