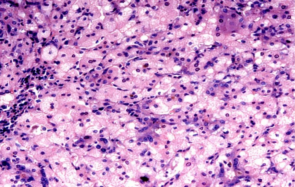
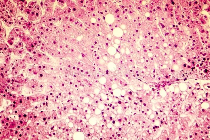
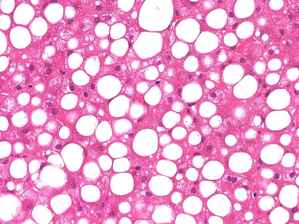
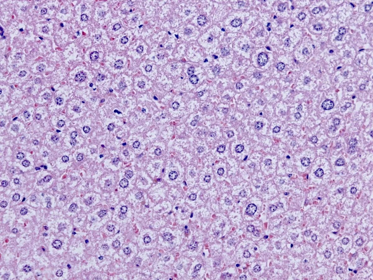
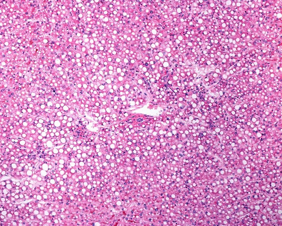
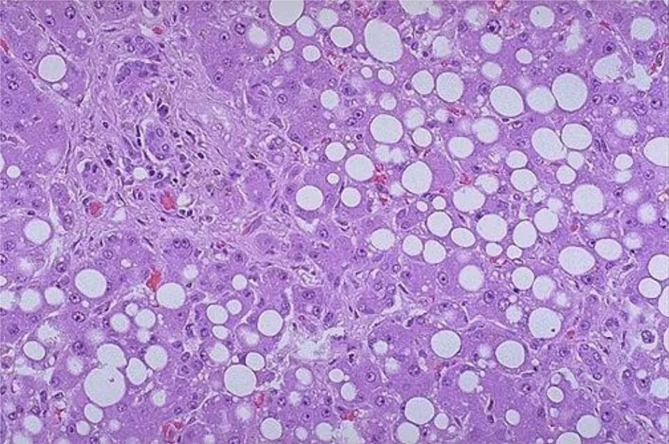
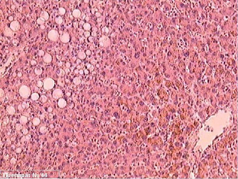
Липидоз печени