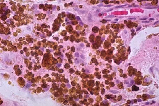
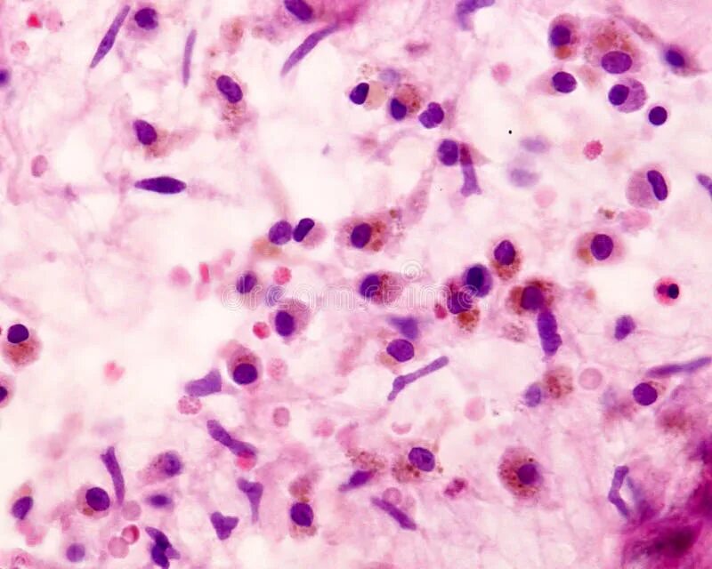
Макрофаги с гемосидерином