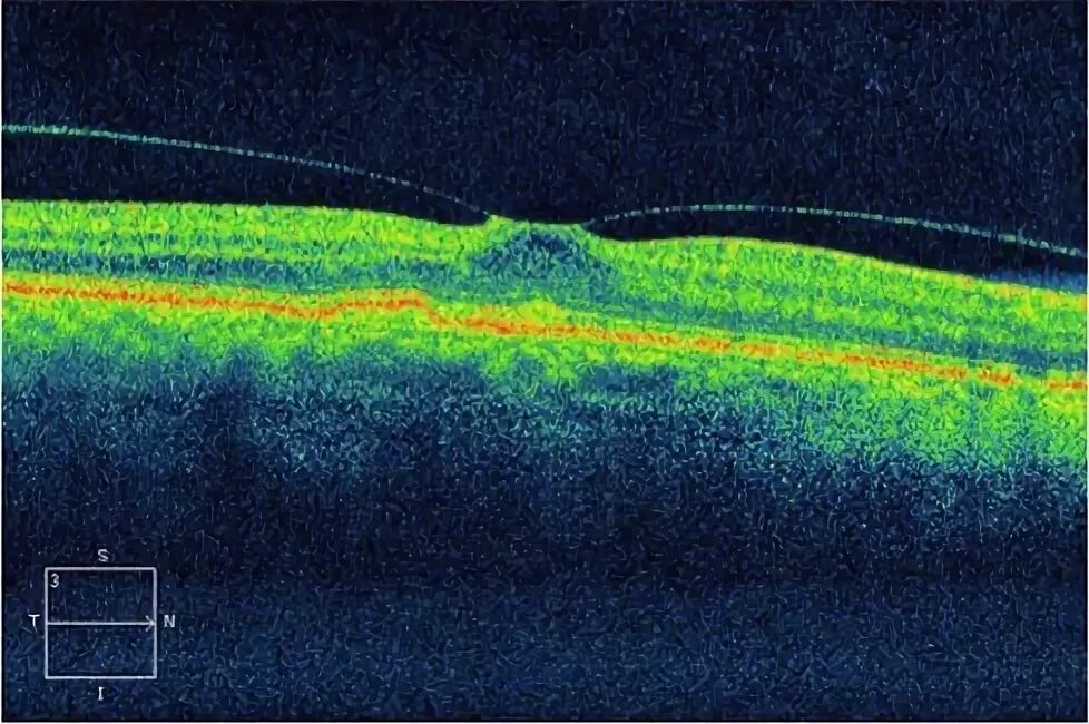
Макулярный разрыв после операции