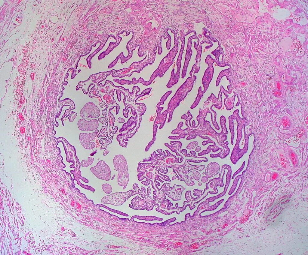
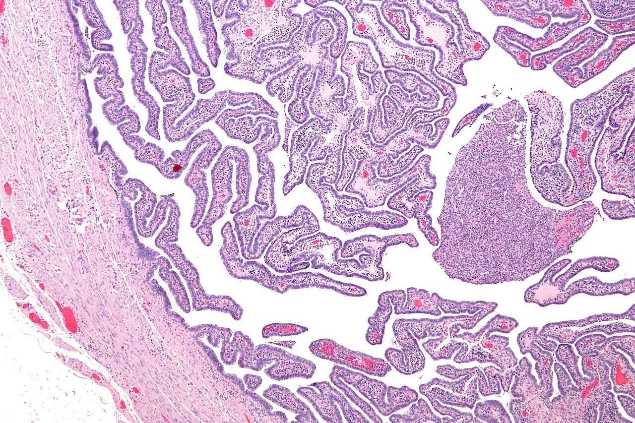
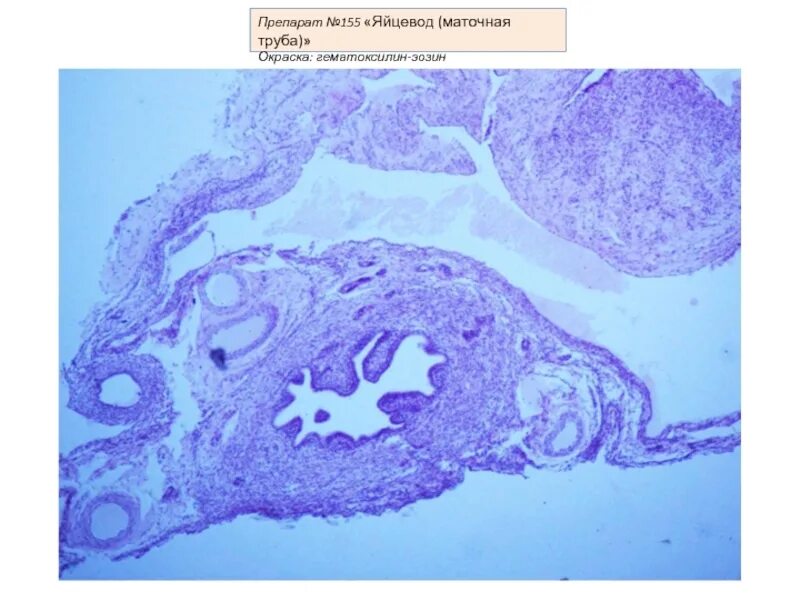
Маточная труба гистология