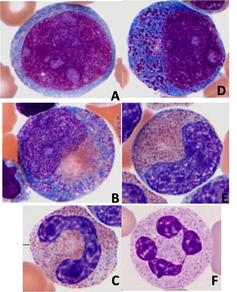
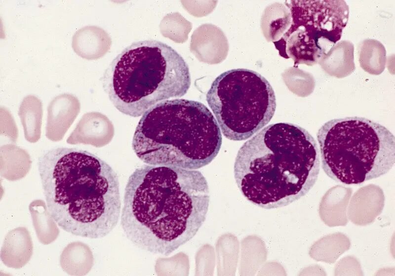
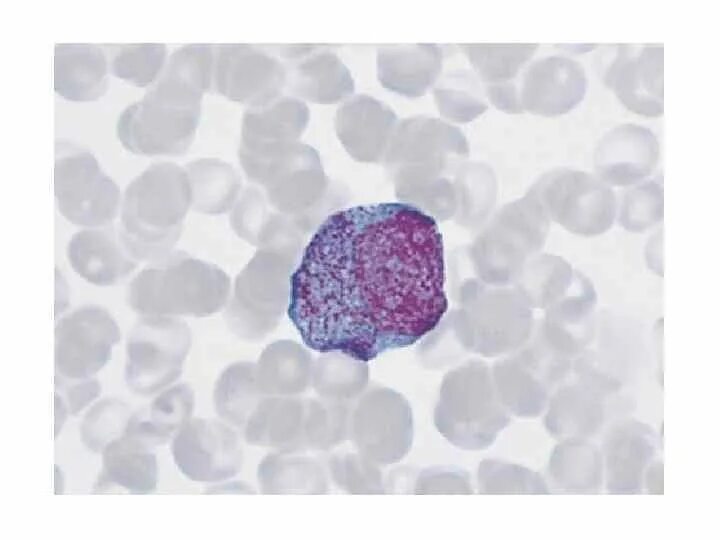
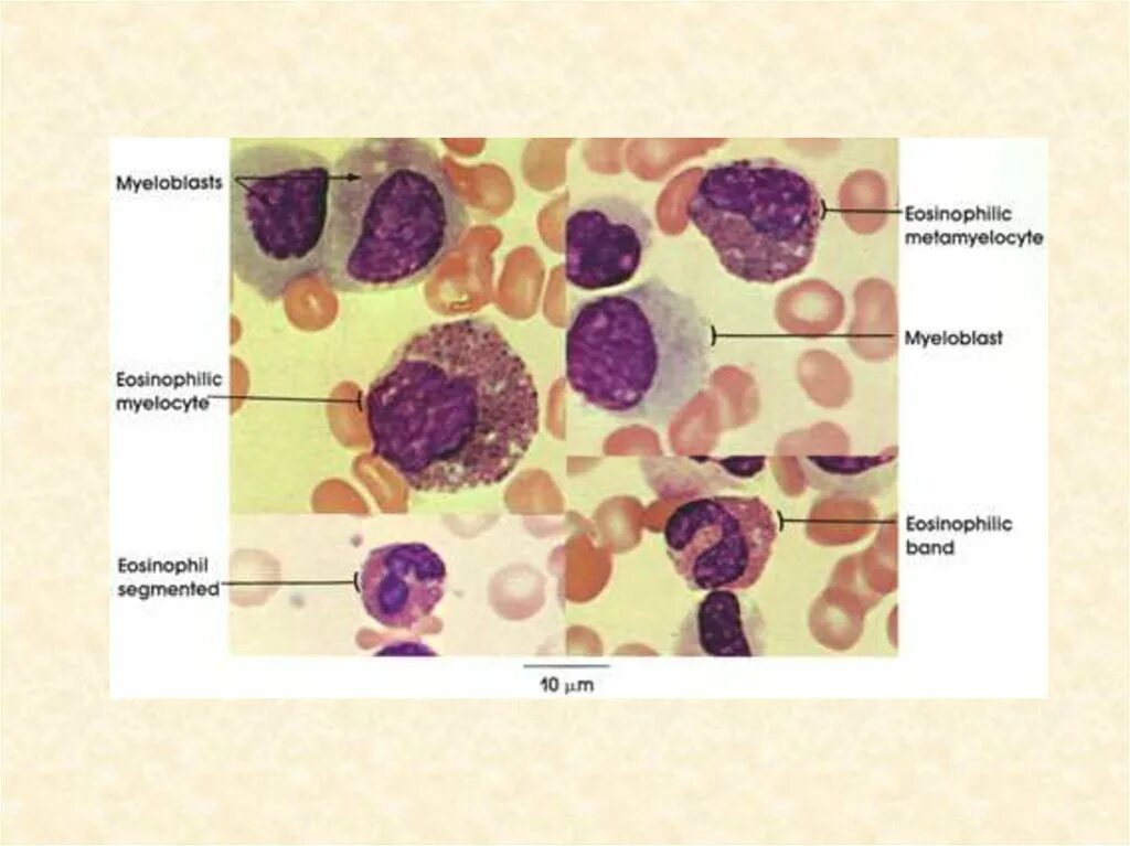
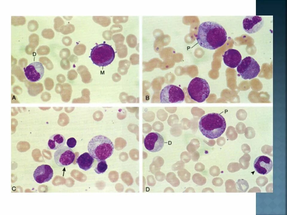
Метамиелоциты