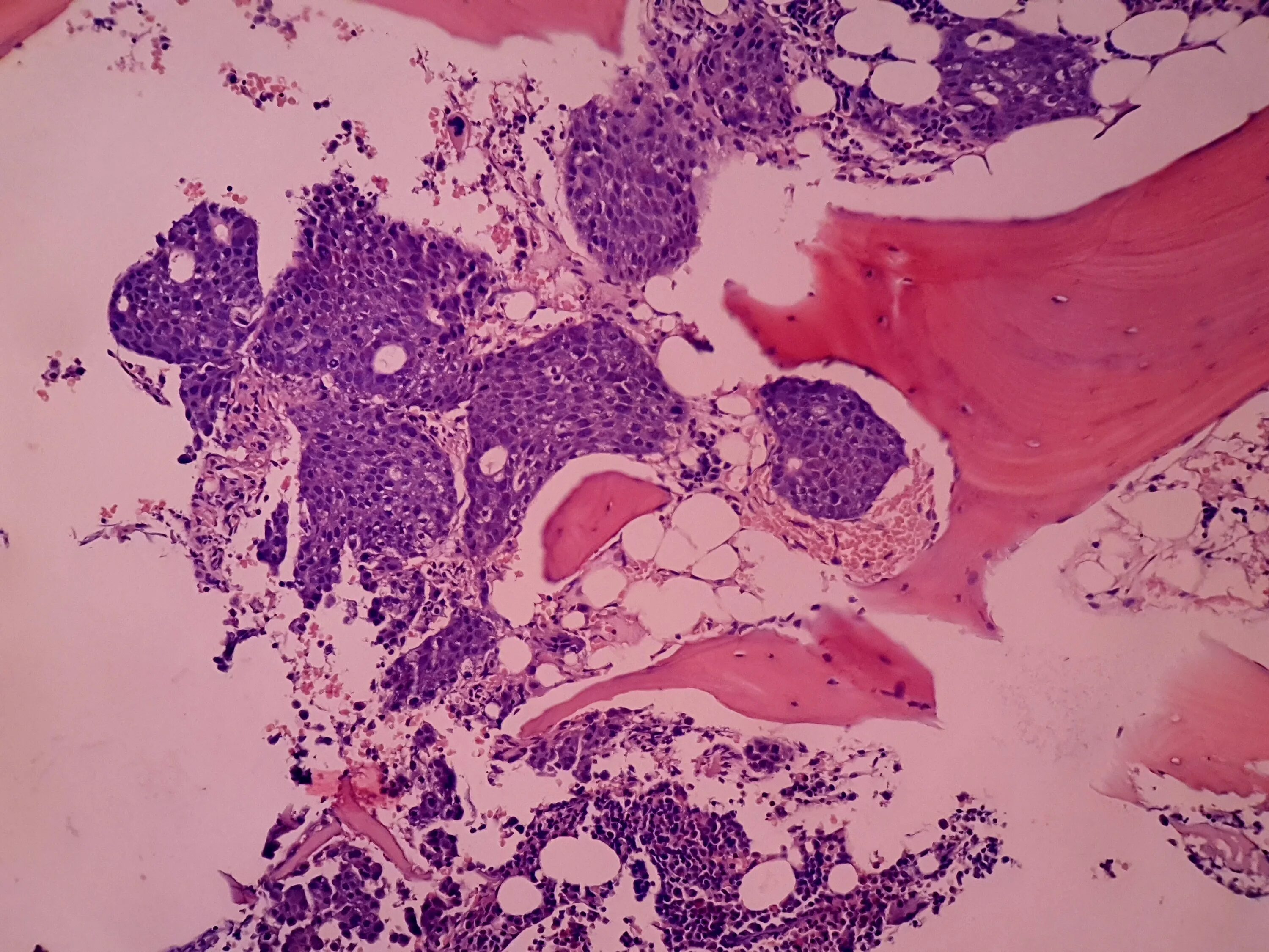
Metastasis