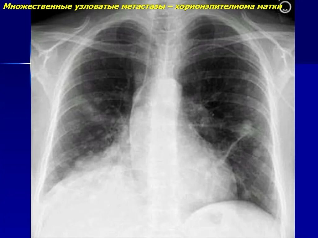
Метастазы бывают доброкачественными