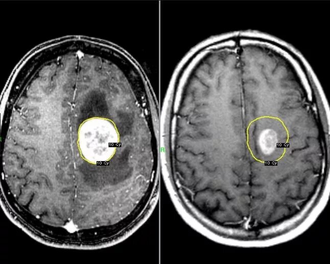
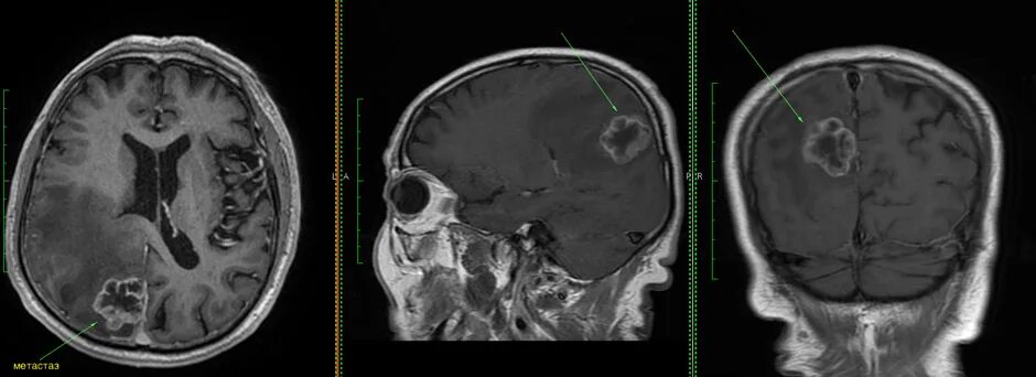
Метастазы головного мозга кт