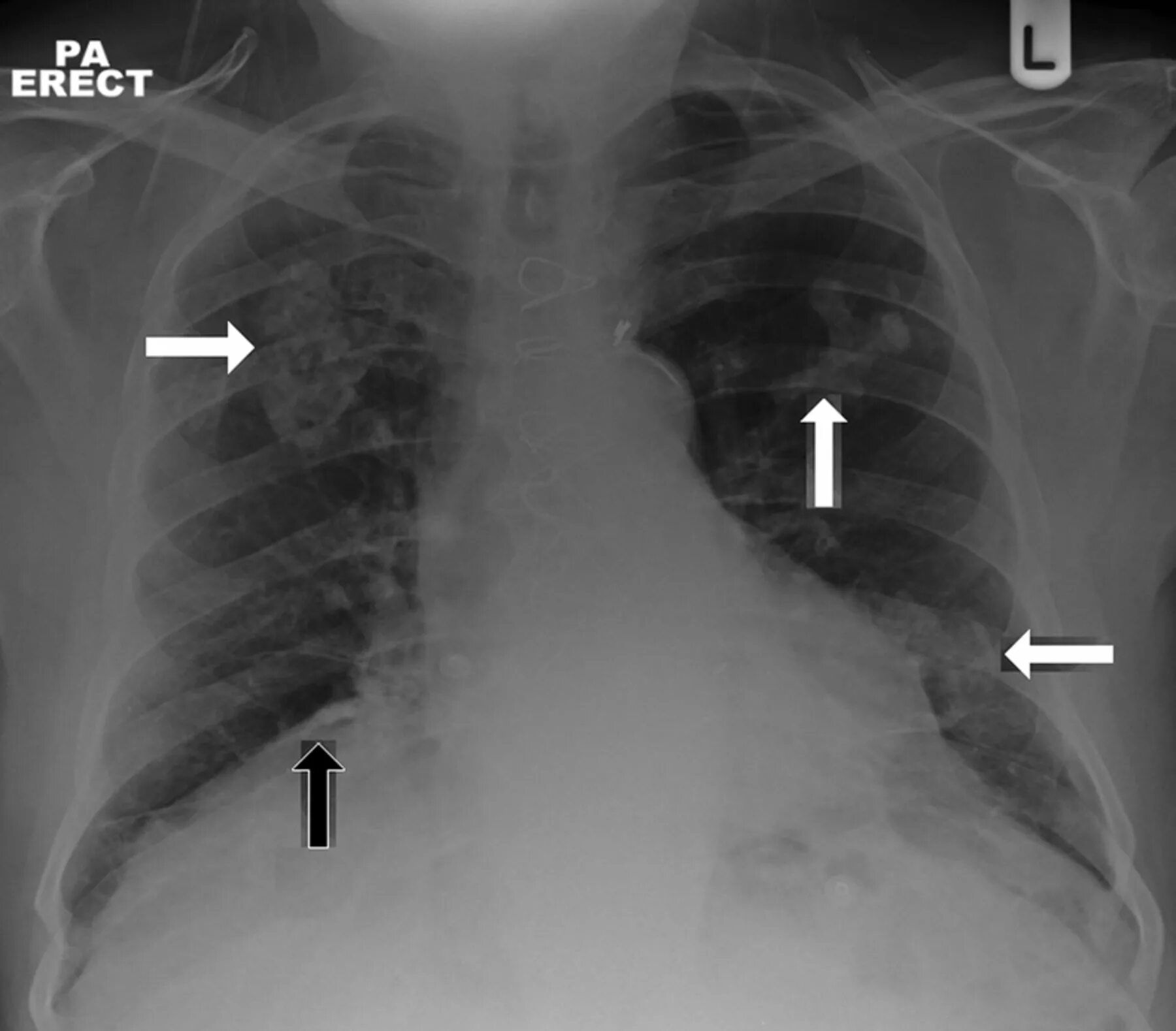
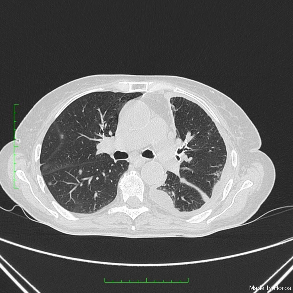
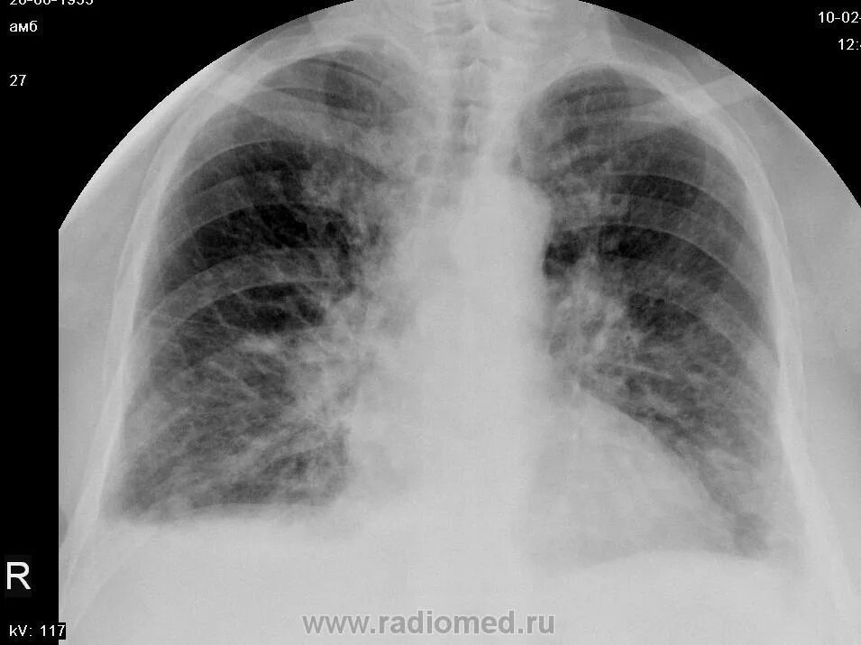
Метастазы плевры