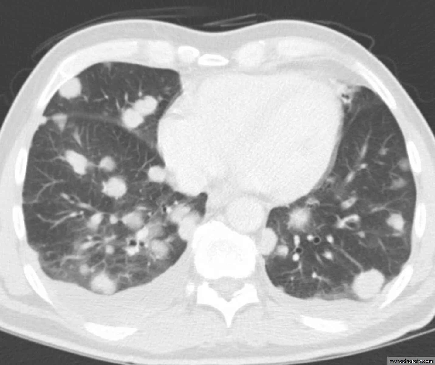
Метастазы щитовидной железы в легкие