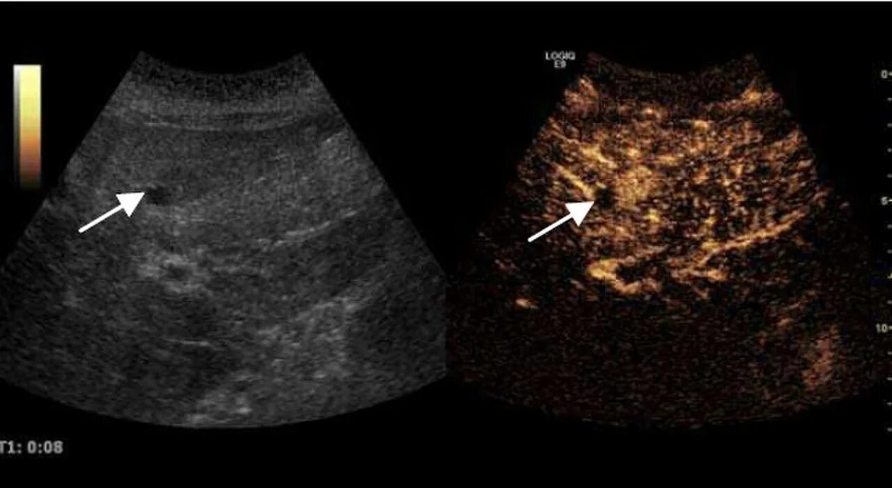
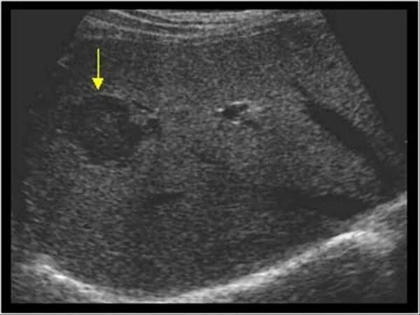
Метастазы в печени на узи как выглядят