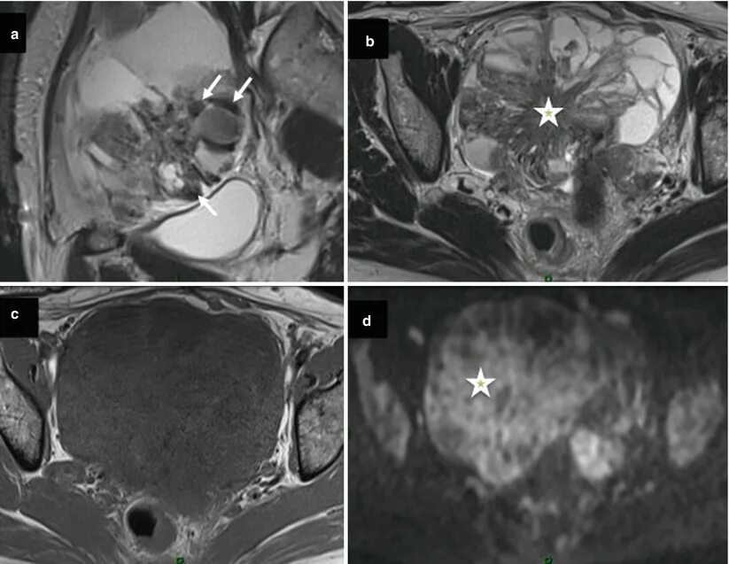
Метастазы в простате