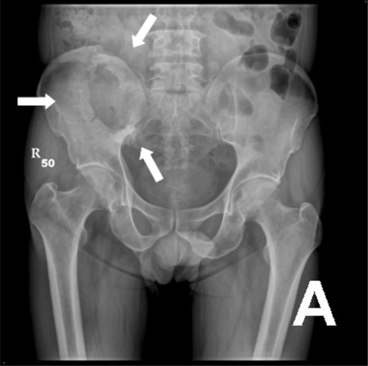
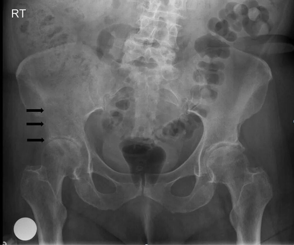
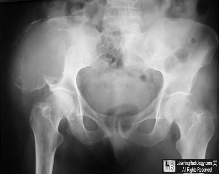
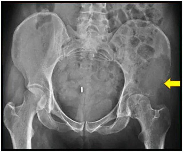
Метастазы в тазу