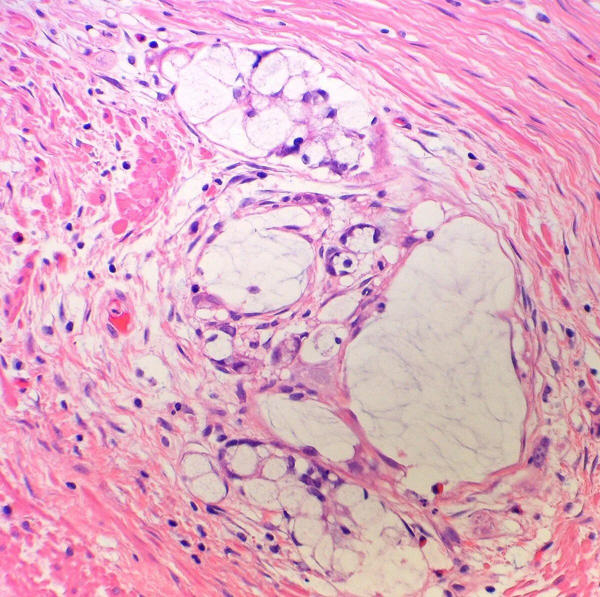
Метастазы в яичках