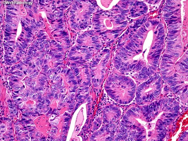
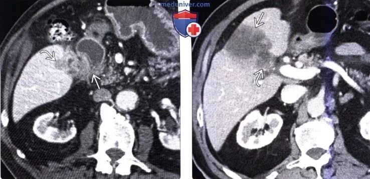
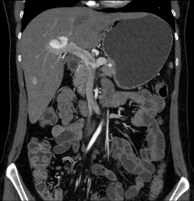
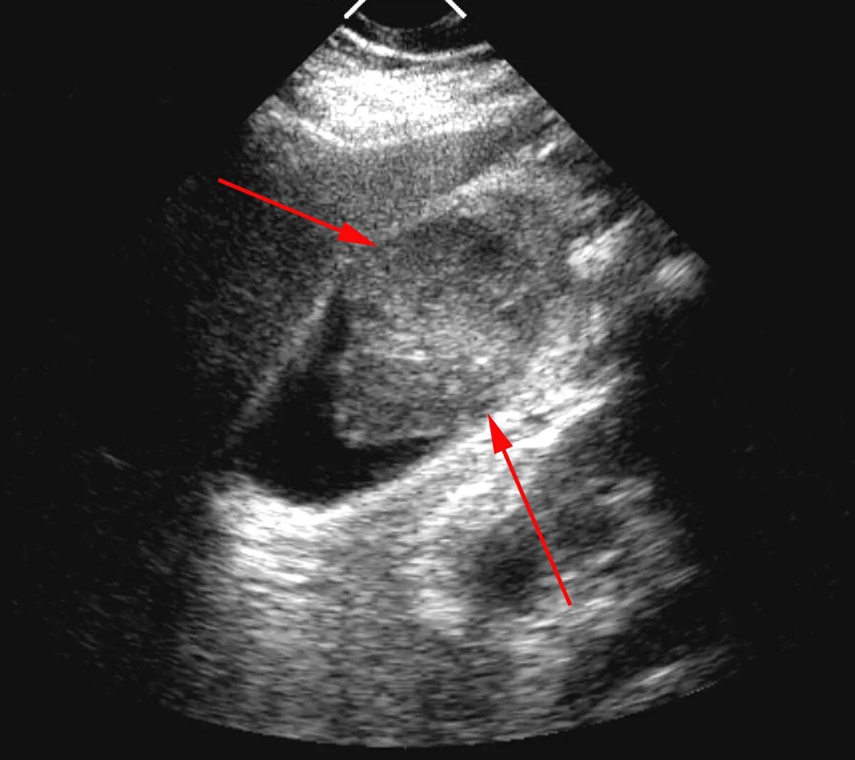
Метастазы в желчном