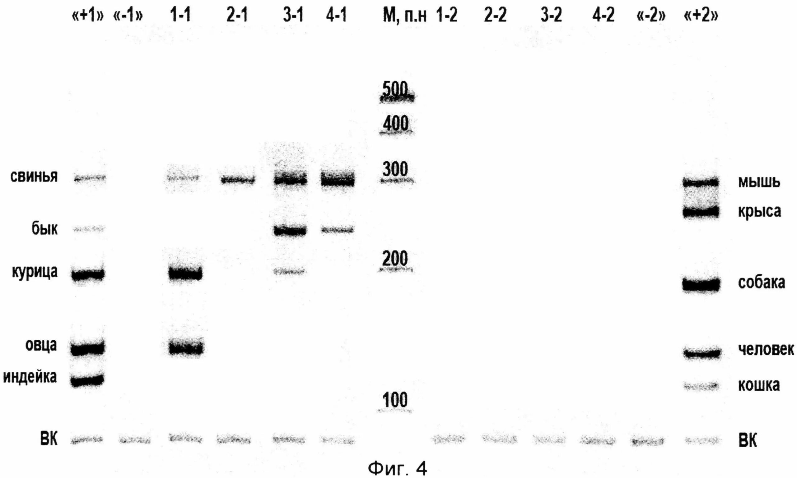
Метод днк идентификации