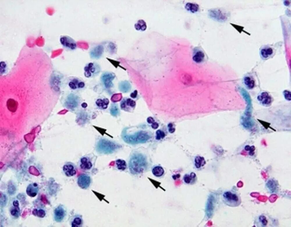
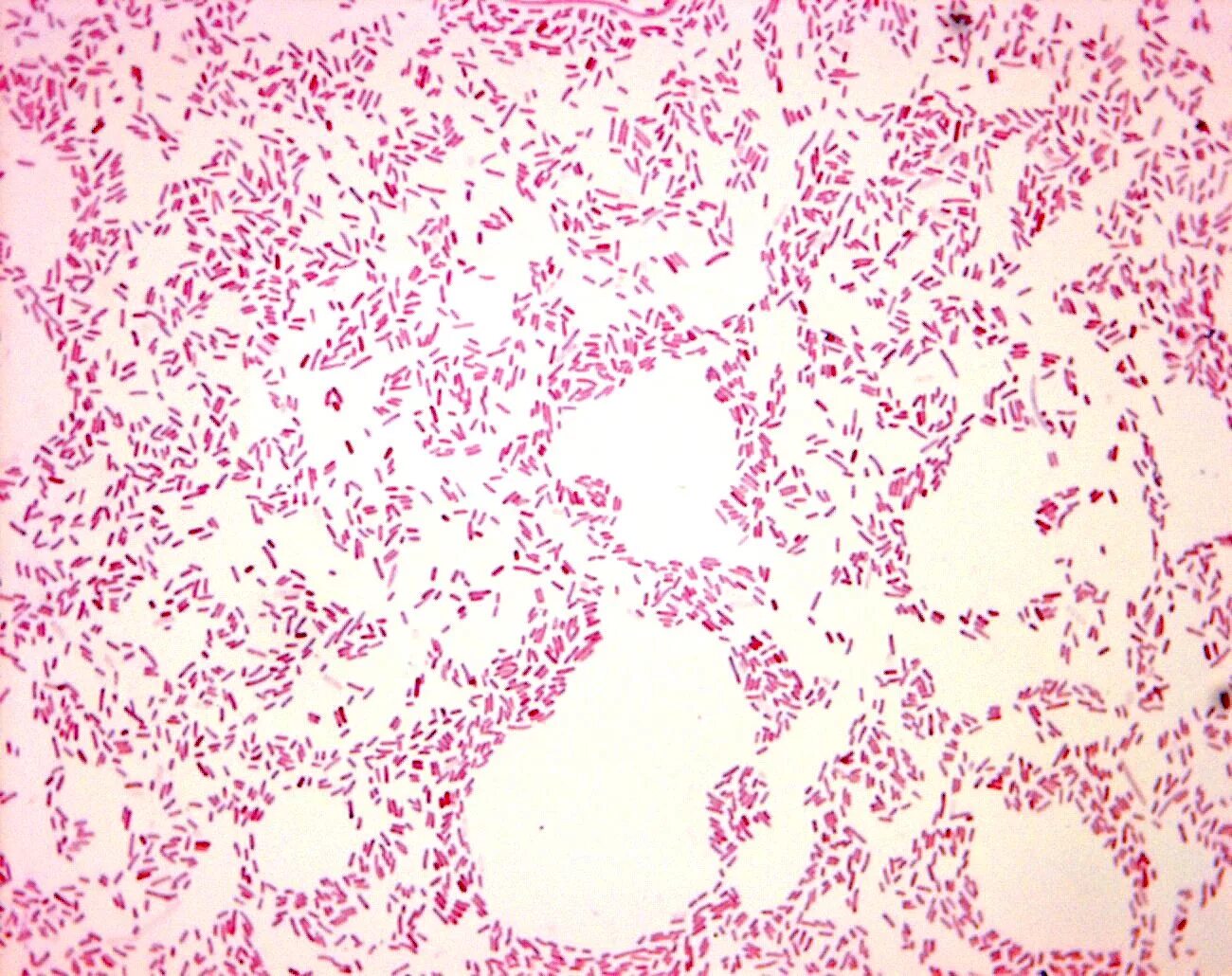
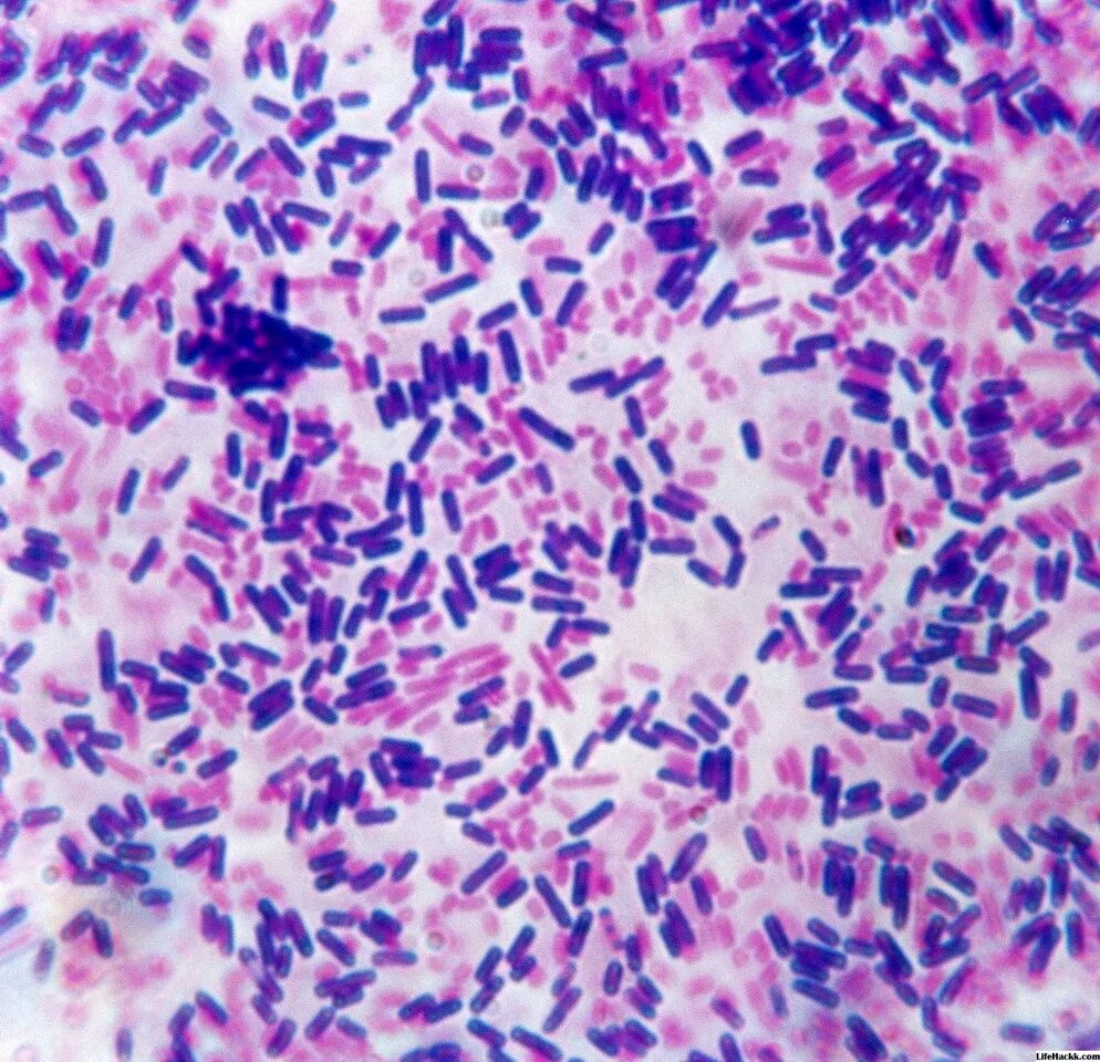
Микроскопия окрашенных