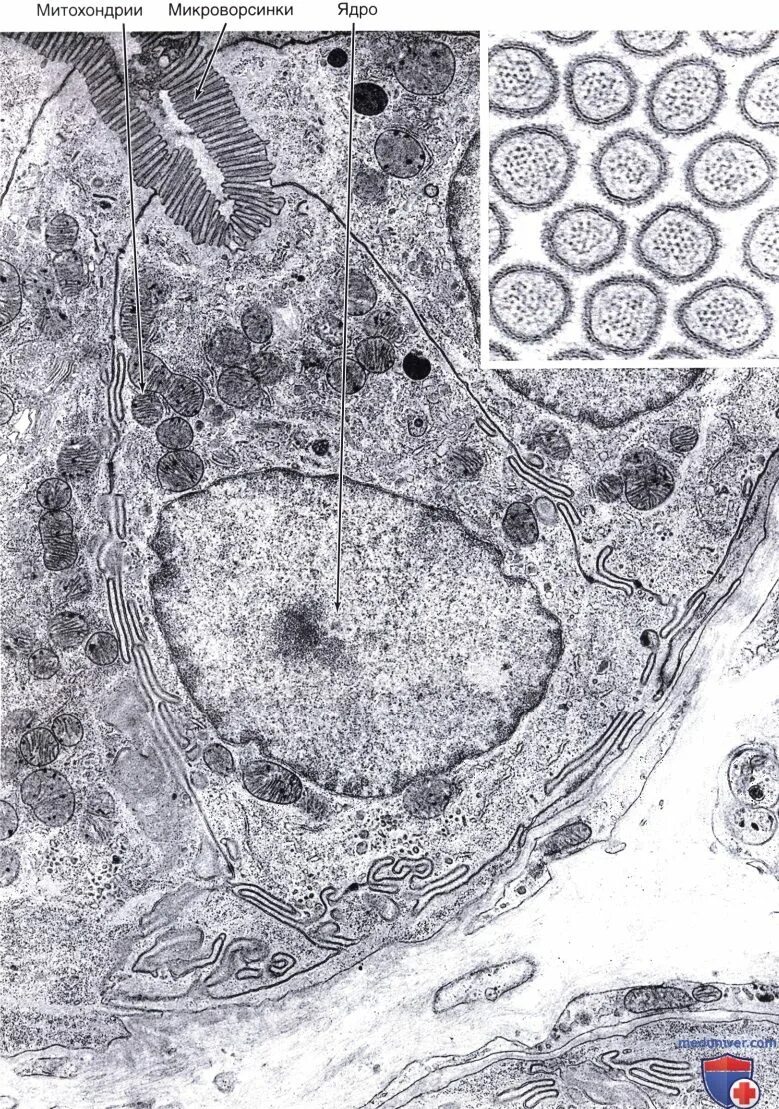
Микроворсинки гистология