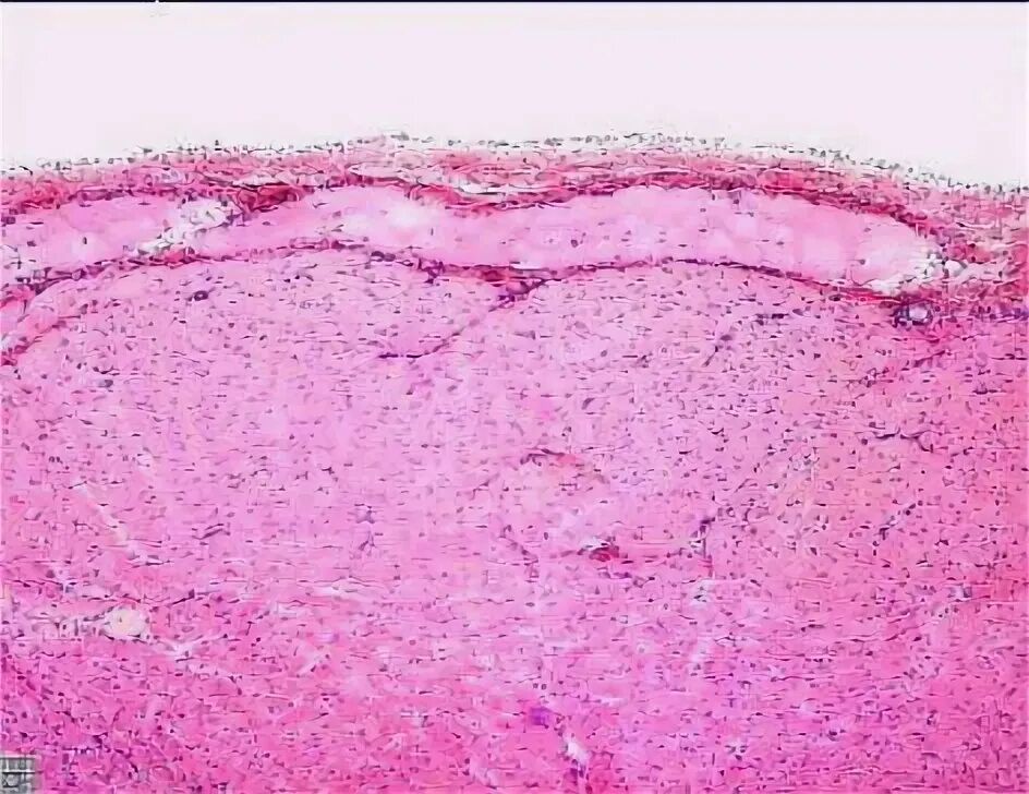
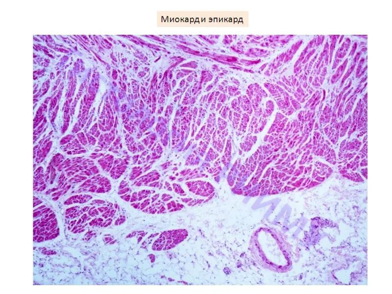
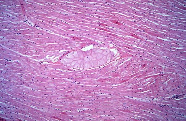
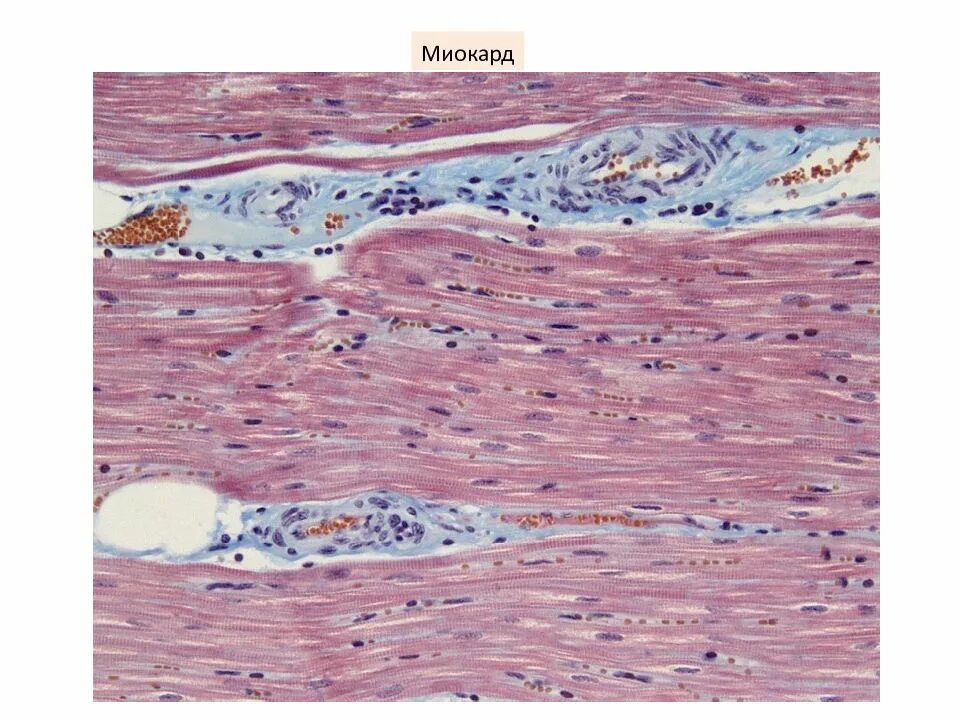
Миокард гистология