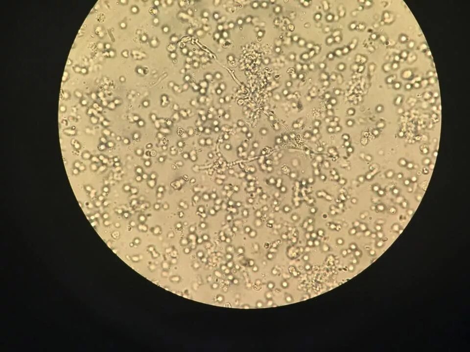
Моча в микроскоп