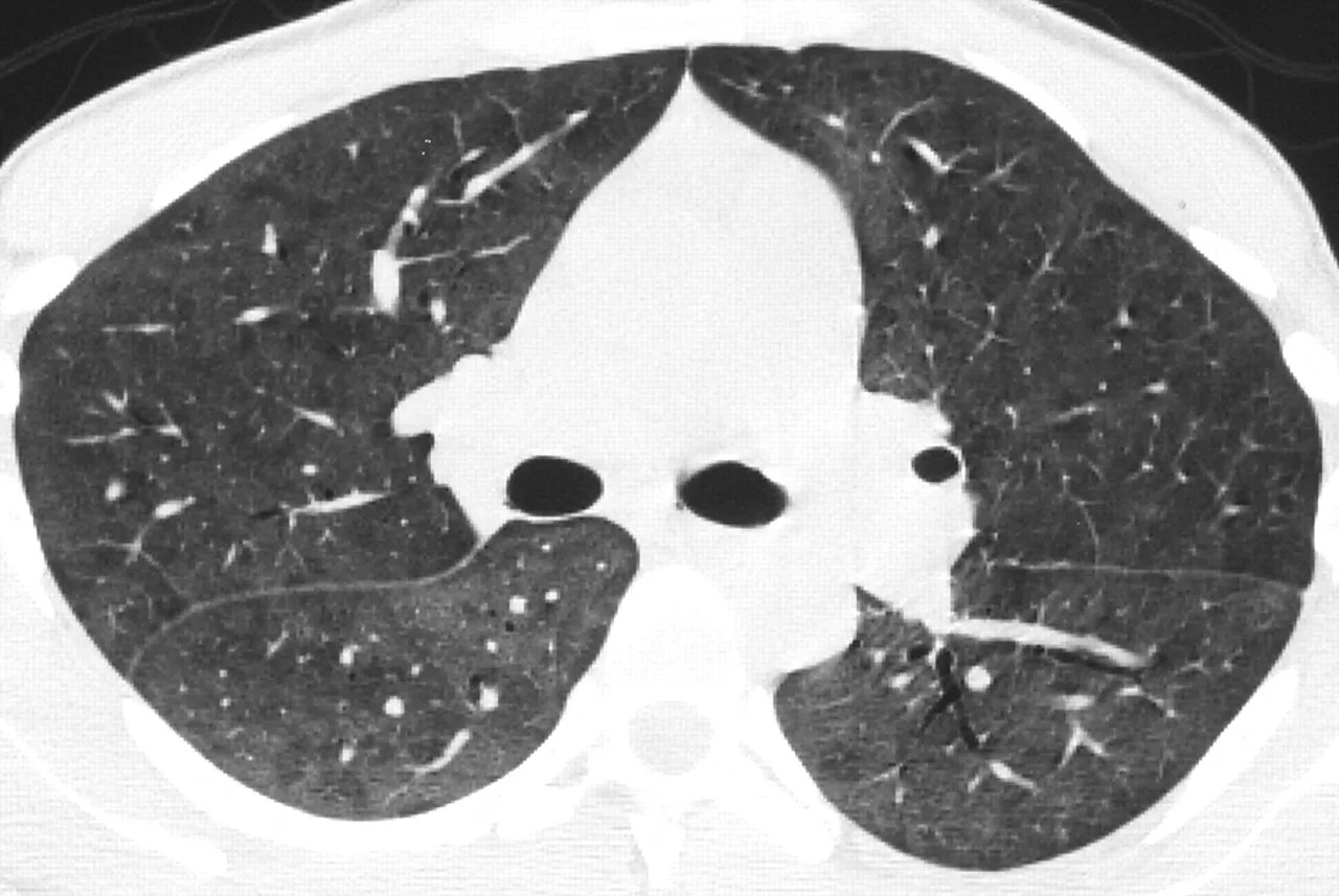
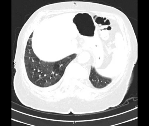
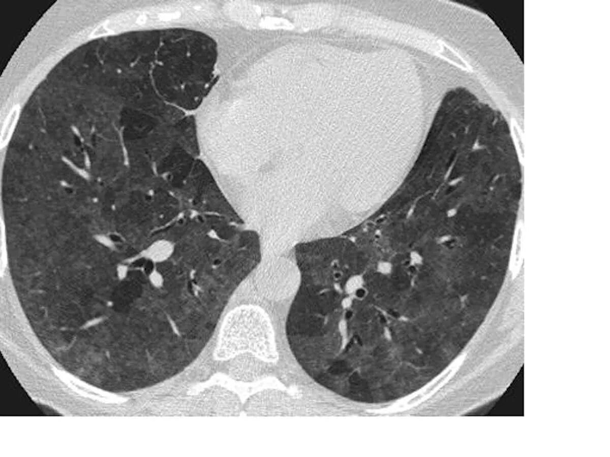
Мозаичная перфузия