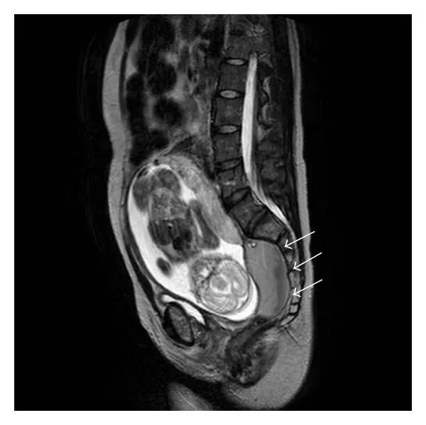
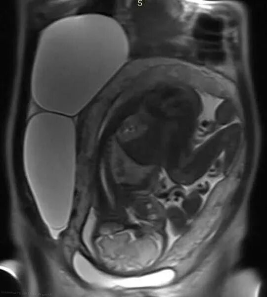
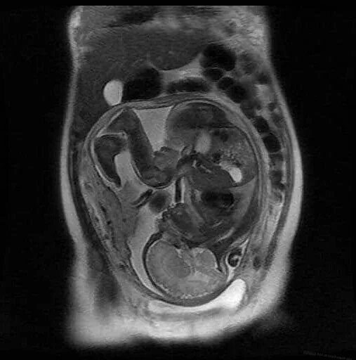
Мрт беременной