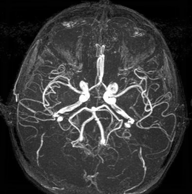
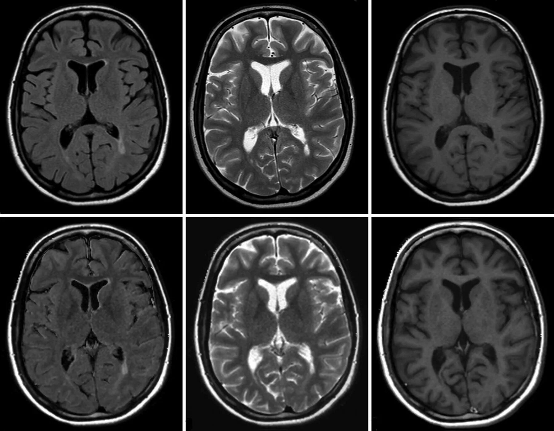
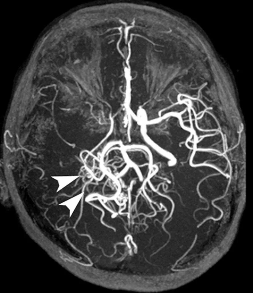
Мрт с контрастированием головного