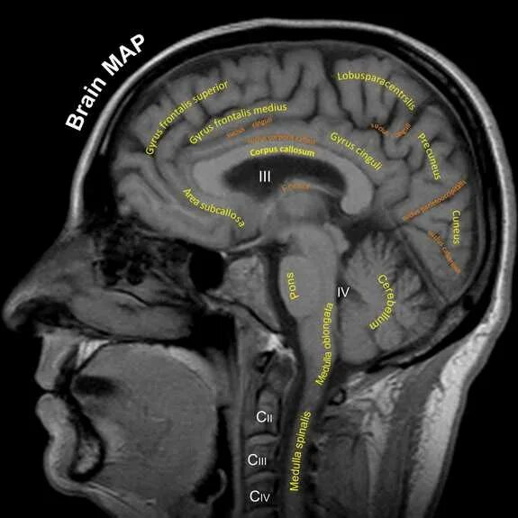
Мрт структуры