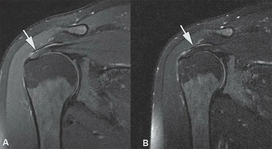
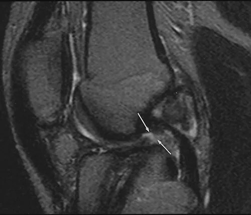
Мрт суставов пермь