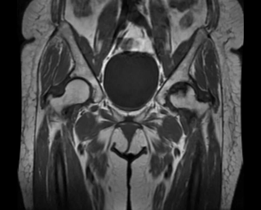
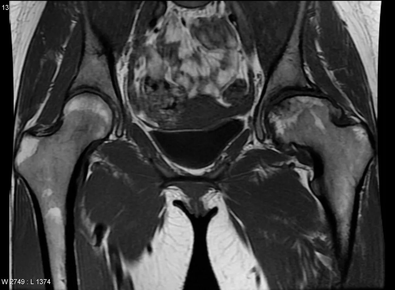
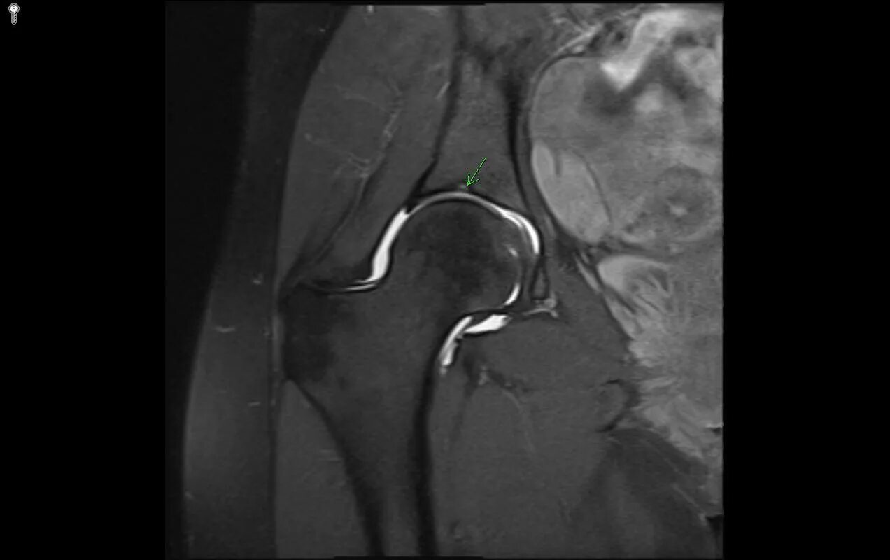
Мрт тазобедренного сустава в минске