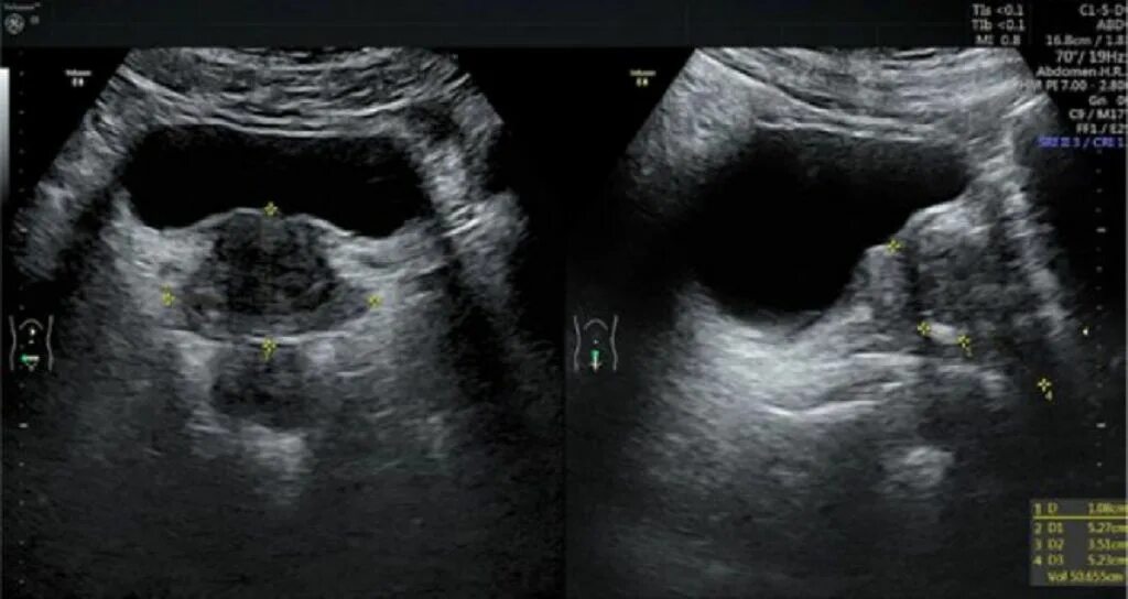
Нарезка простата