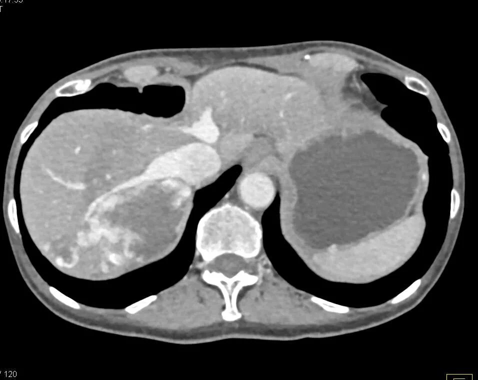
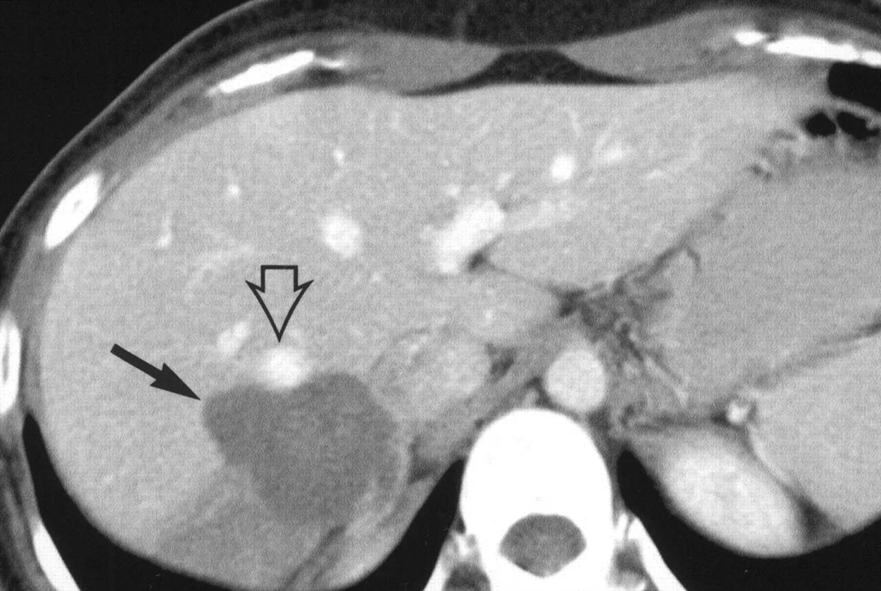
Народное лечение гемангиома печени