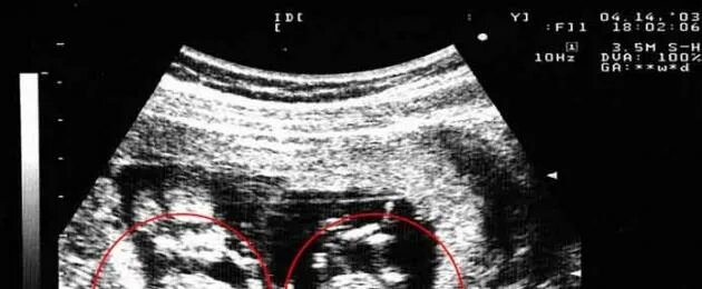
Не замечена двойня