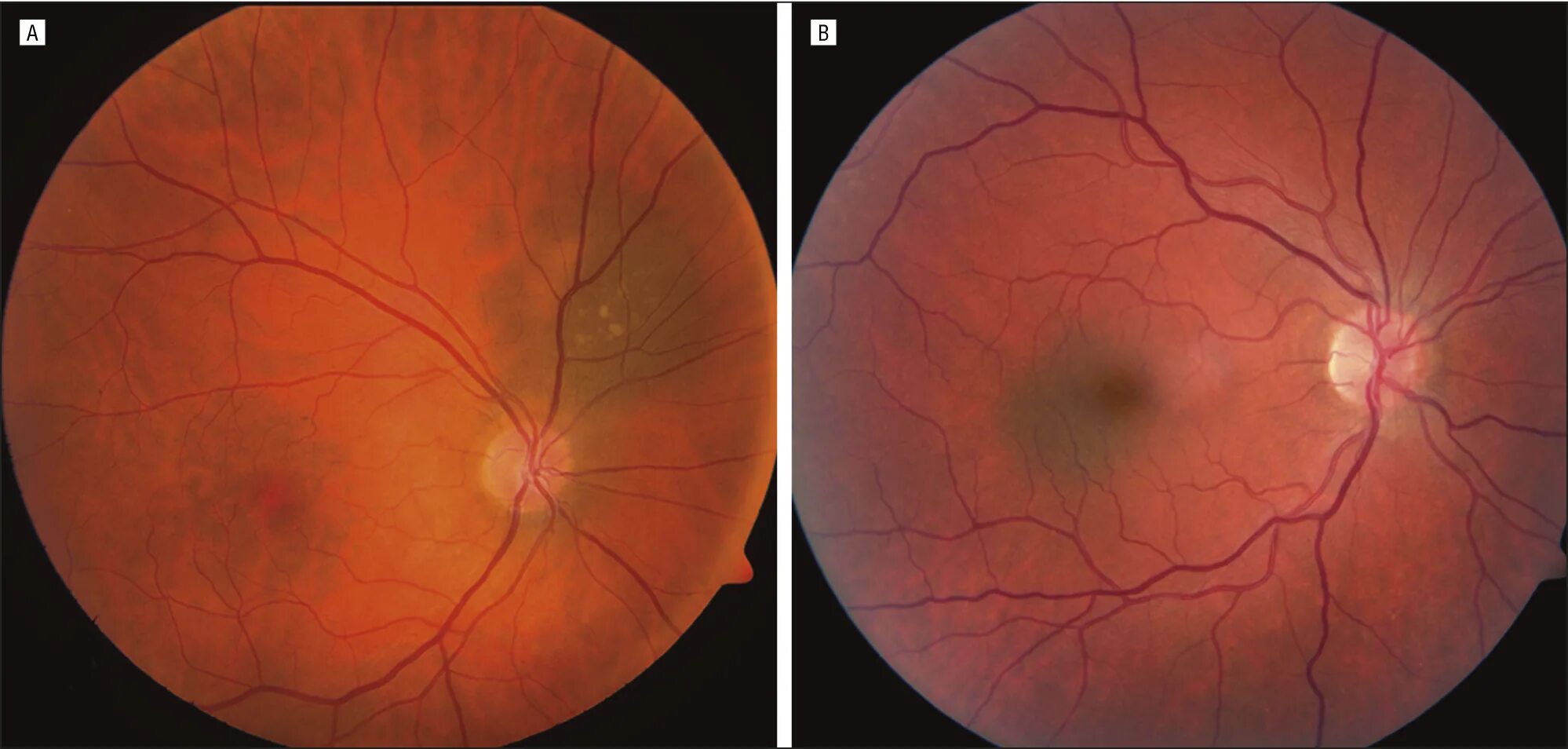
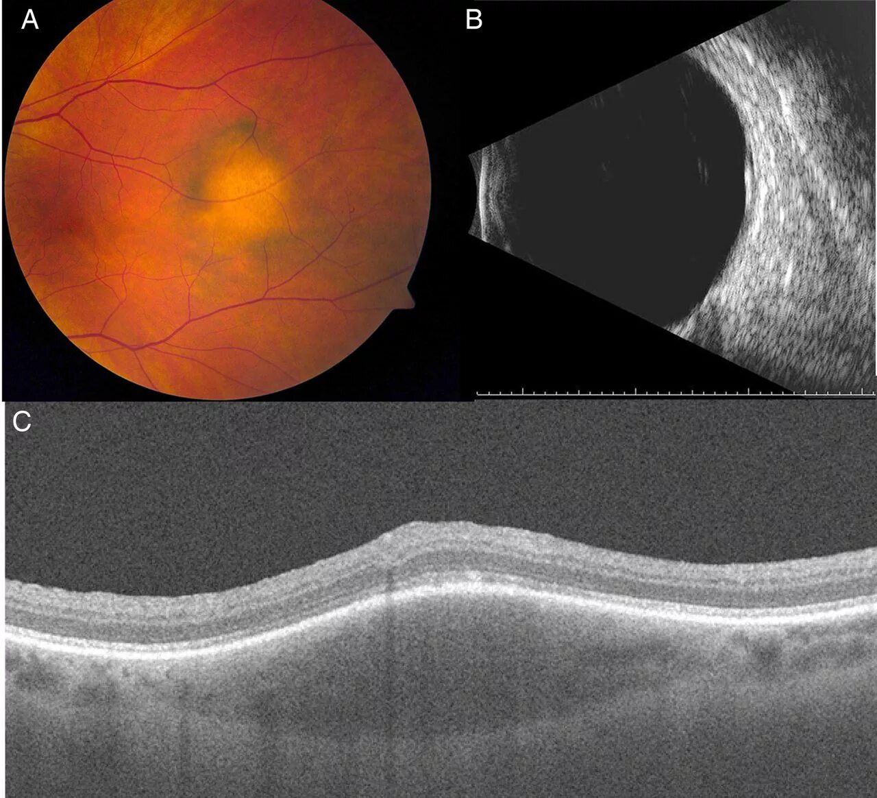
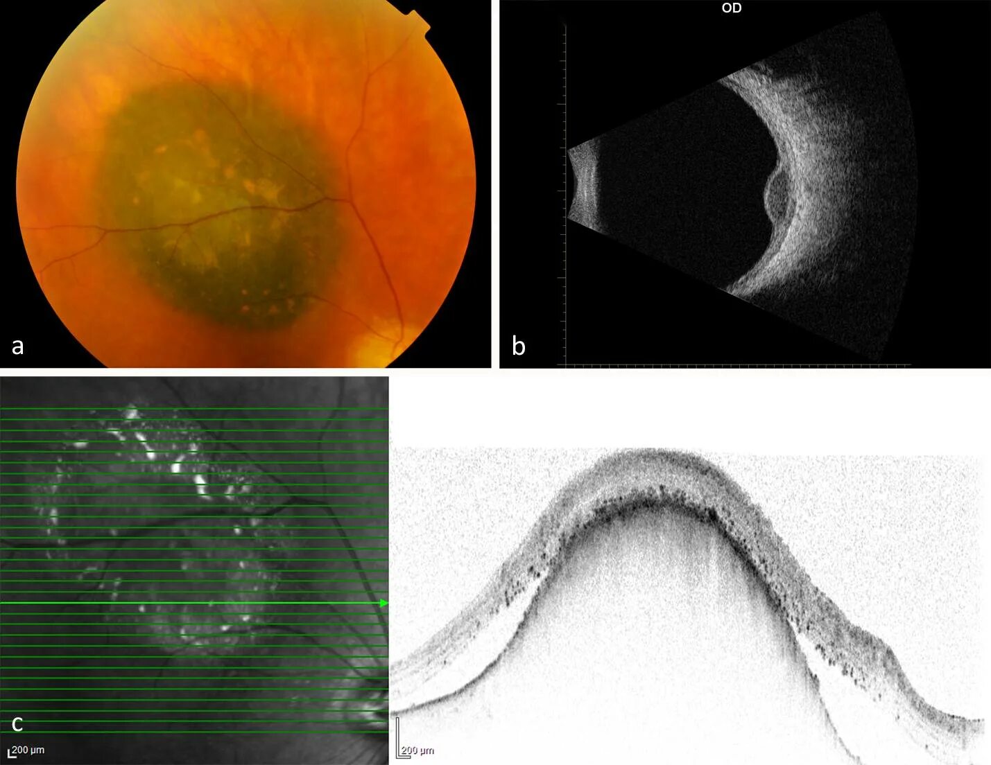
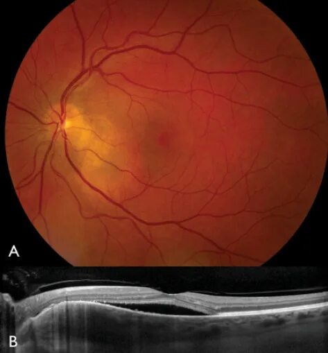
Невус сетчатки