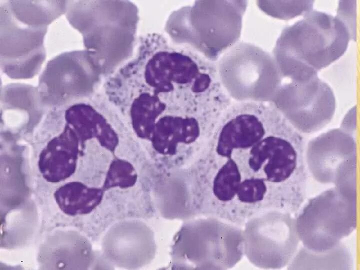
Нейрофилы сегментоядерные